04. Februar 2008
Jetzt ist die vierte und letzte Chemo gelaufen! Anfangs war Puschel auch heute wieder völlig platt, aber gegen Abend wurde sie dann
wieder munter. Und nun freut sie sich nur noch auf zu Hause!! Die Zeit haben wir auch heute wieder genutzt, um zu erzählen. Puschel hat
Besuch bekommen, war aber nur bedingt fähig. Am Ende war sie aber wieder fähig, zu essen, zu reden und einen Film zu schauen.Nun
hoffen wir, dass nicht doch noch etwas dazwischen kommt und wir wirklich morgen früh erstmal nach Hause können. Wie es dann
weitergeht, werden wir jeden Tag neu abwarten müssen, ihr kennt das ja... Gott segne euch, ich lasse euch natürlich Neues wissen...
05. Februar 2008
Und nun ist Puschel glücklich und dankbar wieder zu Hause!! Wir konnten heute pünktlich von Berlin nach Hause fahren, sodass Puschel
mittags schon “bei Muttern” essen konnte. Und das schmeckte...!! Wir sind natürlich dankbar, dass es ihr im Moment wirklich gut geht und
sie nicht so schwach ist wie sonst immer nach der Chemo. Sicher werden auch jetzt wieder andere Momente kommen, aber für diese sind
wir erst einmal dankbar! Wenn ihr möchtet, dankt einfach mit uns! Und natürlich hoffen und beten wir, dass es jetzt nicht gleich wieder
schlimmer wird. Denn jetzt am Abend bekam sie schon wieder deutlich erhöhte Temperatur. Und wir hoffen und beten, dass dies nicht
weiter steigt, sondern sich einfach “einpegelt”. Heute Abend konnten wir schon mit ihr und dem großen Rollstuhl in die frische Luft. Es
wäre schön, wenn das die nächsten Tage auch geht... Ihr bleibt informiert...!
Eine Frage oder Bitte zuletzt: Vielleicht mögt ihr neben Peggy auch Sophie in eure Fürbitte einschließen. Bei ihr geht es gerade “um die
Wurst” mit MRT-Untersuchungen usw. Sie bekommt bereits am Wochenende die nächste Chemo. Später noch mehr Infos... Danke!
06. Februar 2008
Danke fürs Mitbeten! Die Temperatur von Puschel hielt sich den ganzen Tag in erträglichen Grenzen. Es bleibt eine etwas bange Frage: Wie
wird es in der nächsten Stunde sein....?? Aber noch geht es ihr und auch den Blutwerten gut! Dafür sind wir sehr dankbar. Wir beten einfach
weiter, dass es alles “im Rahmen” bleibt und sie die ganze Woche über hier bleiben kann. Heute Abend konnten wir wieder mit ihr und dem
großen Rollstuhl in die frische Luft. Es wäre schön, wenn das die nächsten Tage auch geht... Ihr bleibt informiert...!
09. Februar 2008
So sorry - manche von euch haben jetzt schon auf Nachrichten gewartet, wie es nun mit Puschels Blutwerten weitergegangen ist. Es war
gerade zu viel los hier. Puschel hatte Besuch aus dem Süden, es gab eine Menge Veranstaltungen hier usw. Doch jetzt erzähle ich euch eine
kleine Geschichte, die uns erfreut hat: Wenn es “normal” gewesen wäre mit Puschels Blutwerten, dann hätten wir heute mit ihr nach Berlin
fahren müssen. Denn noch gestern waren ihre Thrombos bei 28 (vor 3 Tagen 83). Immer sind die Thrombos früher dann weiter gesackt,
sodass heute eigentlich Thrombos von 18 oder 8 zu erwarten waren. Wir haben jedoch gebetet, dass Gott eingreift, denn Puschels Freunde
waren immer noch hier. Die Blutwerte heute aber ergaben plötzlich ein ganz anderes Bild. Die Thrombos sind von 28 ohne weiteres auf 85
gestiegen, sodass eine Fahrt nach Berlin völlig unnötig war. So konnte sie hier bleiben!! Es war schönstes Wetter, und sie konnte die Zeit
genießen. Ihr sehtr es an den Bildern. Sie muss vorsichtig sein, weil die Leukos derzeit bei 0,3 sind, also nicht mehr vorhanden. Aber dafür
hat sie schon in Berlin Medikamente bekommen, sodass auch hier eine Besserung zu erwarten ist. Für den 29. Februar ist nn die letzte
Chemo in Berlin geplant. Aber bis dahin wird es noch einige spannende Tage geben...
11. Februar 2008
Jetzt sind wir gerade von Berlin gekommen, wo Puschel heute neue Thrombos und auch zwei komplette Blutkonserven bekommen hat.
Heute (erst, und das ist wirklich ein Geschenk!!) sind die Thrombos auf unter 10 gesackt, sodass die Fahrt nicht mehr zu umgehen war. Wie
schön, dass das nicht vorher geschah! So konnte Puschel das Wochenende mit ihren Freunden aus Süddeutschland hier verbringen. Jetzt
heißt es wieder abwarten, wie sich alles entwickelt. Morgen soll der “Medizinische Dienst” der Pflegeversicherung kommen. Wenn ihr mögt,
betet einfach, dass dann die richtigen Entscheidungen fallen... Danke! Und natürlich werdet ihr weiter auf dem Laufenden gehalten!
13. Februar 2008
Nachdem wir vorgestern in Berlin “neues Blut” bekommen haben, sind nun die Blutwerte wieder deutlich besser. Die Leukos waren so gut,
dass wir es wagen konnten, in eine nicht gerade volle Vorstellung von “Unsere Erde” - einem wunderbaren Film über die Schöpfung, zu
gehen. Puschel konnte dort fast liegen und hat so den Film wirklich genießen können. Es ist schön, dass es ihr vom Befinden her recht gut
geht. Das war auch so, als das Blut sehr schlecht war. Lediglich gestern war sie ziemlich schwach. Und so ist nach wie vor jeder Tag “Seine
eigene Plage” (Matth 6,34). Gestern war der Medizinische Dienst nun endlich da. Und so hoffen wir, dass die Frage der Pflegestufe gut
geklärt werden kann. Danke für alles Gebet. Puschel versucht, jeden Tag, auch mit Hilfe der Physiotherapie, ein Stück weiterzukommen. Da
hilft ihre positive Lebenseinstellung sehr. Und es ist genial, dass ihr alle nach wie vor an sie denkt und für sie betet!!!Nachdem wir
vorgestern in Berlin “neues Blut” bekommen haben, sind nun die Blutwerte wieder deutlich besser. Die Leukos waren so gut, dass wir es
wagen konnten, in eine nicht gerade volle Vorstellung von “unsere Erde” - einem wunderbaren Film über die Schöpfung, zu gehen. Puschel
konnte dort fast liegen und hat so den Film wirklich genießen können. Es ist schön, dass es ihr vom Befinden her recht gut geht. Das war
auch so, als das Blut sehr schlecht war. Lediglich gestern war sie ziemlich schwach. Und so ist nach wie vor jeder Tag “Seine eigene Plage”
(Matth 6,34). Gestern war der Medizinische Dienst nun endlich da. Und so hoffen wir, dass die Frage der Pflegestufe gut geklärt werden
kann. Danke für alles Gebet. Puschel versucht, jeden Tag, auch mit Hilfe der Physiotherapie, ein Stück weiterzukommen. Da hgilft ihre
positive Lebenseinstellung sehr. Und es ist genial, dass ihr alle nach wie vor an sie denkt und für sie betet!!!
16. Februar 2008
„Du hast mir meine Klage verwandelt in einen Reigen, du hast mir den Sack der Trauer ausgezogen und mich mit Freude gegürtet.“
Psalm 30,12
Jetzt geht es wieder Tag für Tag um die Blutwerte und deren Auswirkungen auf Puschels Zustand. Sie ist manchmal recht schwach,
braucht nach wie vor fast den ganzen Vormittag, um “ins Leben” zu kommen. Doch dann geht es ihr meist recht, oft sehr gut. An den
Fotos könnt ihr es sehen. Natürlich wäre es langweilig, die schwache Puschel beim Schlafen zu zeigen.... Also, ihr könnt wissen, dass
es durchwachsen ist, aber doch im Moment alle im Lot. Natürlich lebt sie ein bisschen auf die letzte Chemo hin, weil danach dann
die Chance besteht, wieder normaler leben zu können. Wir gehen jetzt, wenn möglich, jeden Tag in den strahlenden Sonnenschein
und an die wirklich gute klare Winterluft. Das hilft den roten Blutkörperchen natürlich sehr. Und so freut sie sich an jedem Tag und
nimmt ihn als Geschenk Gottes. Dabei sind all die Kontakte, die sie zu euch haben kann, sei es durch Mails, Telefonate oder Besuche,
immer wieder eine wirkliche Ermutigung. Dass ihr das bis heute voll durchgehalten habt, ist für mich ein Wunder und hoffentlich
auch für euch alle ein Segen. Wir bleiben in IHM verbunden!
21. Februar 2008
„Singet dem HERRN und lobet seinen Namen, verkündet von Tag zu Tag sein Heil!“Psalm 96,2
Wieder einmal muss ich bei euch Abbitte tun - das immer wieder leidige Problem mit den Computern... Ich sollte wohl doch wieder
mit einem “Mac” anfangen... (vielleicht sponsort Steve Jobs bald diese Seite...:-))
Es war allerdings auch nicht viel Aufregendes in den letzten Tagen. Puschel geht es nach wie vor durchwachsen gut. Wir sind dankbar, dass
sie bisher noch nicht wieder (wie so oft nach einer Chemo) in die Klinik hier in Teterow mußte. Die Blutwerte sind nach der reduzierten
Chemo nun relativ konstant in erträglichen Bereichen. Sie fühlt sich manchmal schlechter, als bei ganz schlechten Werten. Aber das ist
normal. Wir gehen ja nun schon auf die nächste (und hoffentlich letzte) Chemo zu. Und wir werden danach dann wohl erst einmal aufatmen
können. Allerdings wird Puschel mindestens zwei bis drei Monate brauchen, um wieder halbwegs zu Kräften zu kommen. Gestern sind wir
fast 9 Km durch unsere schöne Landschaft gezogen. Das tut Puschel gut, aber auch uns. Und so können wir euch immer wieder auch schöne
neue Fotos zeigen, die hoffentlich auch wiedergeben, dass es gut geht und wir dafür sehr dankbar sind. Es ist schön, zu wissen, dass ihr
nach wie vor hier hereinschaut und euch nach Puschel erkundigt und dann auch für sie betet. Dies ist eine grosse Stärkung und
Unterstützung. Gott segne euch und gebe auch euch die Gewissheit, dass es gut ist, IHN zu loben, egal, wie uns gerade zumute ist!
24. Februar 2008
Lobe den HERRN, meine Seele, und vergiß nicht, was er dir Gutes getan hat. Psalm 103,2
Es gab jetzt immer mal wieder schöne Frühlingstage, an denen es nicht anders ging als hinaus zu gehen... Ihr seht es an
den Fotos. Puschel muss immer, bevor sie auf den großen Rollstuhl kann, starke Schmerzmittel nehmen, um die frische
Luft dann auch wirklich genießen zu können. Aber dann geht es auch recht gut. Und sie hat immer wieder Freude daran,
die Grenzen auszuloten... Für den Freitag ist nun die nächste (letzte) Chemo geplant. Wir hoffen nun, dass es bis dahin
gut geht mit Blut und Befinden. Und dann beten wir einfach, dass die gesamte Behandlung tatsächlich den gewünschten
Erfolg bringen wird. Gott hat es in seiner Hand. IHM wollen wir vertrauen. Danke, dass ihr das mit uns tut!! Danke für
euer Gebet und eure Treue!
28. Februar 2008
jetzt bin ich selbst ein paar Tage unterwegs gewesen. Aber es hat sich auch an Puschels Zustand nichts verändert. Es
geht ihr nach wie vor recht gut, natürlich den Umständen entsprechend.
Die große Frage ist die, ob morgen die letzte Chemo losgehen wird oder nicht. Puschel wäre froh, wenn es ginge, denn
nun wird es langsam Zeit, die Sache zu Ende zu bringen… Das Problem sind wieder einmal die Blutwerte. Sie sind
insgesamt zwar stabil, aber die Leukos sind in den letzten Tagen permanent nach unten gegangen. So beten wir, dass sie
nicht weiter absacken. Morgen früh wird noch ein großes Blutbild gemacht und dann entschieden, ob es losgehen kann
oder nicht. Danke, dass ihr sie auch auf dieser Etappe begleiten werdet. Wir halten euch auf dem Laufenden.
29. Februar 2008
Viele sagen von mir: Er hat keine Hilfe bei Gott. Aber du, HERR, bist der Schild für mich, du bist meine Ehre und hebst
mein Haupt empor. Psalm 3,3-4
Wenn ich euch schreibe, dass ich vor ein paar Stunden mit Puschel wieder spazieren gegangen bin, und dass sie (wie ihr
es auf dem Foto rechts seht, gerade Physiotherapie bekam, dann wisst ihr, was das bedeutet... Die Blutwerte haben nicht
mitgespielt! Wir konnten die nächste Chemo nicht beginnen. Das war nicht das, was wir uns gewünscht hatten. Aber ihr seht:
Puschel ist deswegen nicht am Boden zerstört! Sie wäre gern am kommenden Wochenende zu Hause, weil da Freunde aus
Süddeutschland reinschauen wollten, die bei einem TPC (Teens Prayers Congress - gut neudeutsch...) in Neubrandenburg
mitarbeiten. Gott kann ihr das ja noch immer schenken. Der andere Grund ist natürlich der, dass sie die Chemo nun bald
beenden möchte. Aber Gott weiss, wozu diese Verzögerung gut ist. Es geht Puschel bei allem relativ gut. Das macht alles
weniger schwierig. Und natürlich erfahrt ihr, wie es weitergeht. Montag wird das Blut erneut gecheckt und dann entschiede.
1. Januar 2008
Denn alles ist mir möglich durch Christus, der mir die Kraft gibt, die ich brauche. Phil 4,13
Puschel ist wieder zu Hause und konnte Silvester hier feiern. Es war zwar nicht überschwänglich, aber sie war wenigstens zu Hause. Natürlich
hat sie jetzt und in den nächsten Tagen sehr mit den Folgen der letzten Chemo zu kämpfen. Aber wir sind dankbar, dass es ihr dennoch relativ
gut geht. Das Handling mit der Übelkeit und den Schmerzen ist mittlerweile so gut eingespielt, dass sie zwar zu kämpfen, aber kaum noch
wirklich gravierende Probleme damit hat. Es ist aber auch zu merken, dass das Blut je länger, desto weniger in der Lage ist zur Regeneration.
Die Ärzte werden dennoch versuchen, das “Mass an Chemos voll zu machen”. Das bedeutet, dass mindestens noch zwei, möglichst drei Chemos
anstehen. Aber auch da gilt: Schritt für Schritt. Und es ist nach wie vor ein grosses Geschenk, dass ihr alle “mitkämpft”. Denn das immer
wieder neu eine grosse Ermutigung und Stärkung. So dürfen wir dieses neue Jahr beginnen in der Gewissheit, dass unser Herr mit ihr und mit
uns allen geht. Dabei soll der Vers 13 aus Phil. 4 heute im Gottesdienst der Gemeinde ein grosser Orientierungspunkt sein: „Denn alles ist mir
möglich durch Christus, der mir die Kraft gibt, die ich brauche.“
3. Januar 2008
Vom Aufgang der Sonne bis zu ihrem Niedergang sei gelobet der Name des HERRN! Psalm 113,3
Nun hat das neue Jahr begonnen. Und wir konnten erfahren, dass es Puschel nach einer Chemo so gut ging wie vorher nie. Sie konnte in den
letzten Tagen so aktiv an allem teilhaben, natürlich im Rahmen ihrer Möglichkeiten, aber eben doch so aktiv, wie kaum zuvor. Dafür danken
wir Gott von Herzen. Natürlich ist sie nach wie vor schwerkrank. Und am 17. Januar soll sie auch bereits wieder nach Berlin in die Klinik.
Aber wie bisher wollen wir jeden Tag aus Gottes Hand nehmen und dafür dankbar sein. Wahrscheinlich hat sich alles, auch Puschels Körper
und viele Abläufe drum herum, inzwischen viel besser auf alles eingestellt. Ganz sicher werden auch jetzt wieder die Blutwerte rapide
absacken. Und es wird auch weiterhin ein tägliches Bangen sein. Aber wir haben einen Herrn, der mit geht. Und es ermutigt uns immer
wieder, wie sehr ihr alle mitgeht und Puschel im Gebet begleitet. Gott segne eure Treue uns Liebe und schenke es euch vielfältig zurück.
Heute sind den letzten Tag Puschels Freundin Myriam und ihre kleine Schwester Esther hier in den Ferien. Und es ist schön, zu erleben, wie
sehr Puschel an allem Anteil nimmt, vor allem am geistlichen Leben und Wachstum der Jugendlichen in der Gemeinde und in ihrem
Freundeskreis. Heute will sie sich mit Mädels aus der Gemeinde zum Bibellesen in ihrem Zimmer treffen - nach der Physiotherapie.
Alles ist mir möglich durch Christus, der mir die Kraft gibt, die ich brauche!
6. Januar 2008
Mittlerweile werden wieder fast täglich die Blutwerte kontrolliert. Denn die sind, wie vorauszusehen war, in den Keller gesackt. Die Leukos
sind gleich null, aber die Thrombos haben sich eigenartigerweise gestern gut erholt. Heute ist Puschel nun etwas schwächer und damit auch
nicht mehr so unternehmungslustig. Aber in die frische Luft sind wir dennoch gegangen. Die Fotos mit Puschels Schwester sind nun allerdings
bereits zwei Tage alt. Aber das Bild von dem leicht zugefrorenen See ist fast aktuell. Puschel ist wie wir auch nach wie vor dankbar und froh
für alle eure Treue in der Fürbitte! Es ist wirklich schön und eine ganz besondere Erfahrung, wenn man sich so von Gottes Gegenwart und dem
Gebet von vielen Freunden und auch Unbekannten getragen weiss. Immer wieder haben uns Freunde angesprochen und gesagt, die
Fröhlichkeit und Gelassenheit von Puschel sei ein normaler Verdrängungsmechanismus. Irgendwann käme dann auf jeden Fall die “grosse
Depression”.
Ja, wir sind nicht immer nur fröhlich. Und die Krankheit ist nach wie vor lebensbedrohlich. Aber Puschel weiss, dass “Gottes Plan perfekt”
ist, dass ER einen guten Weg für sie hat. Darum ist es keine Floskel, wenn wir immer wieder mal für alle eure Fürbitte und Treue danken.
Denn das ist einer der entscheidenden Gründe für Puschels fröhliches Herz und Gesicht. Ihr betet so treu für sie und uns. Und Gott erhört
euer Gebet. Dafür danken wir IHM von Herzen und euch ebenso. Und Ihr dürft daran glauben, darauf vertrauen, dass Gott euer Gebet hört
und erhört. Puschel ist wirklich nicht getrost und fröhlich, weil sie so cool ist, sondern weil sie SEIN Kind ist, das Tag für Tag aus der Hand
seines Vaters nimmt. Das ist SEIN Geschenk. Es wird immer auf und ab geben. Aber SEINE Liebe und Treue bleibt. Vielen Dank, wenn ihr SEINE
Kraft und Freude und auch SEINE Heilung weiter erfleht und erbittet!!!!
7. Januar 2008
Aktuelle Zwischenmeldung (13:00):
Wir müssen mal wieder los nach Berlin, damit Puschel neue Thrombos bekommen kann. Die sind so weit abgesackt, dass es für die Berliner
Ärzte nicht mehr tolerabel ist. Nun hoffen wir auf eine gute und behütete Fahrt (0°C) und eine gute “Abfertigung” in Berlin. Es ist nicht
immer ganz leicht, zu genau dem Zeitpunkt die richtigen Thrombos auch da zu haben... Ihr bleibt hier auf dem Laufenden!! (Beehren Sie uns
bald mal wieder...:-))
7. Januar 2008
„Ihr werdet am Ende doch sehen, was für ein Unterschied ist zwischen dem, der Gott dient, und dem, der ihm nicht dient.“ Maleachi
3,18
Gerade sind wir zurück von unserem nun schon fast obligatorischen Trip nach Berlin, um uns dort neue Thrombos abzuholen. Diese waren mal
wieder recht plötzlich völlig abgestürzt, und so blieb uns nichts anderes übrig, als sie mit einer Transfusion zu unterstützen. Glücklicherweise
ging alles sehr reibungslos und schnell! Das ist ein besonderes Geschenk. Beim letzten Mal hat es ziemlich lange gedauert, bis wir wieder zu
Hause waren. So sind wir dankbar und froh wieder da, konnten sogar gleich Eva, Puschels Freundin aus Österreich mit ihrer Schwester von
Berlin aus mitnehmen. Sie waren mit dem Flieger heute Abend von Stuttgart aus dort angekommen. Nun hoffen wir, dass Puschel bis zum
Beginn der nächsten Chemo - bereits in der nächsten Woche (17.1.) Ruhe haben kann.
9. Januar 2008
Ihr werdet am Ende doch sehen, was für ein Unterschied ist zwischen dem, der Gott dient, und dem, der ihm nicht dient. Maleachi 3,18
Es geht Puschel jetzt wieder recht gut. Die Blutwerte von heute sind akzeptabel - immer unter den gegebenen Umständen natürlich. Gerade
konnten wir wieder eine Runde draussen gehen. Das ist für sie dann immer besonders schön und auch wichtig. Gestern haben wir aus El
Salvador die Nachricht bekommen, dass unsere/eure Glocke auf jeden Fall wohlbehalten dort angekommen ist. Grundsätzlich wussten wir das
bereits. Sie hing allerdings noch im Hafen fest, weil die Behörden eine größere Menge Zoll dafür haben wollten. Wir hatten aber bereits
vorsorglich eine Geschenkbestätigung an den Präsidenten von El Salvador mitgeschickt. Nun hat gestern der Präsident für die Behörden
seinerseits bestätigt, dass die Glocke ohne größere Zollbeträge in das Land eingeführt werden darf. Nun hoffen wir, dass es jetzt schnell
gehen und die Glocke bald eingebaut werden kann. Auch da werden wir euch auf dem Laufenden halten. Wir gehen jetzt davon aus, dass das
Geld, das wir für Zoll und Einbau mitschicken konnten, dafür ausreichen und noch ein guter Betrag für die Kinder von “La Casa de mi Padre”
(schaut ruhig mal bei La Casa nach und informiert euch auf der deutschen!! Hompage mit Video usw.!!!) zur Verfügung stehen wird. Wir
werden in den nächsten Tagen konkretere Einzelheiten haben.
11. Januar 2008
Heute möchte ich euch einmal wieder ein paar Sätze schreiben.
Ich bin dankbar, dass ihr nicht darauf besteht, dass ich auf jede eurer so lieben Briefe undGästebucheinträge antworte.
Ich habe immer noch nicht sehr viele Zeiten am Tag, in denen ich genug Kraft habe, etwas Konzentriertes zu tun. Und im Moment sind die
Zeiten, in denen ich besser an die frische Luft gehe, für meinen Zustand wichtiger. Deshalb bitte ich euch nochmals um Verständnis, dass viele
von euch schreiben, aber keine persönliche Antwort bekommen. Bitte nehmt auch dieses Schreiben als eine Antwort. Ich hatte eine schöne
Zeit über Weihnachten zu Hause.... Diese Sätze gehen weiter. Puschel wollte euch jetzt doch mal wieder einen eigenen Brief schreiben. Und
auch wenn sie nicht jedem einzelnen schreiben kann, so dürft ihr diese Seite (klickt einfach auf den Text oben oder hier)als einen
persönlichen Brief an euch nehmen. Denn sie möchte damit wirklich ausdrücklich euch allen danken für eure Briefe und alle Zeichen der
Verbundenheit und Liebe.Es geht ihr im Moment recht gut, und das trotz der Chemo, die erst 10 Tage zurückliegt und der Tatsache, dass die
Blutwerte immer länger brauchen, um wieder in Normalbereiche zu kommen. Darum genießen wir nun erst einmal die nächsten Tage hier zu
Hause. Und da haben wir viel Grund, dankbar zu sein, dass wir sie im Moment wirklich genießen können.
13. Januar 2008
Seit zwei Tagen geht es Puschel nicht ganz so gut. Sie hat wieder etwas schlechtere Blutwerte, vor allem im Bereich der roten
Blutkörperchen. Und das wirkt sich dann sehr schnell auf den Allgemeinzustand (Kopfschmerzen, allg. Schwäche, extreme Blässe usw. aus. Es
kann sein, dass sie, wenn sich die Werte bis morgen nicht bessern, vor der nächsten Chemo noch einmal Bluttransfusionen bekommt. Wenn die
Werte so schwierig sind, kann die Chemo nicht gestartet werden. Es wäre jetzt aber wohl gut, wenn Puschel die letzten zwei Chemo-
Durchgänge auch noch bekommen könnte, damit dieses Kapitel endlich abgeschlossen werden kann. Allerdings können wir dann nur hoffen und
Gott bitten, dass das alles auch die erwünschte Wirkung erzielt und die nächsten MRT-Kontrollen negativ, d.h. ohne einen Befund ausfallen.
Vielen Dank für euer Gebet. Vielen Dank für alle Unterstützung! Alle weiteren Nachrichten bekommt ihr hier. Die frische Luft tut ihr aber
nach wie vor sehr gut, wie ihr an den Fotos oben sehen könnt... Puschel ist bei allem doch nach wie vor sehr getrost, dankbar und
optimistisch!
13.Januar 2008; 22:33
Wenn ihr könnt, betet bitte für Puschel. Sie hat in den letzten Stunden ständig ansteigendes Fieber. Wir hatten eben noch einmal eine
Gebetsrunde. Aber wenn das Fieber nicht in den nächsten Stunden sinkt, müssen wir los in die Klinik. Danke an euch alle fürs Mitbeten!
14. Januar 2008; 11:00
Nun war es doch nicht zu verhindern, Puschel in das Krankenhaus in Teterow zu bringen. Ein wirkliches Rätsel ist bisher, woher das Fieber
kommt. Es war eine sehr unruhige Nacht mit vielen Medikamenten, aber am Ende 39,2°... Danke an euch alle fürs Mitbeten!
15. Januar 2008
Ich schreibe heute nur kurz. Viele wissen, dass Puschel nun seit heute morgen ganz früh wieder im Krankenhaus ist, undzwar wegen einer
offenbar akuten Infektion. Ihre Leukos sind so sehr angestiegen, dass dies auf eine Infektion hindeutet. Auch das hohe Fieber, das sie
immernoch hat, läßt diesen Schluss zu. Im Krankenhaus in Teterow wird sie gut mit allem versorgt. dafür sind wir sehr dankbar. Wir hoffen
nun natürlich, dass sie von dort bald wieder zurück kommen und dann auch die vorgesehene Chemo bald beginnen kann. Besonders schön ist
das wirklich nicht. Aber es ist gut zu wissen, dass Gott weiss, wofür das gut ist. Und IHM wollen wir vertrauen. Und IHN dürfen wir auch
bitten, dass er auch die nächsten Schritte mit Puschel gute Schritte sein lassen wird. Danke, dass ihr weiter nachschaut und für Puschel
betet!! Keep you informed - ich halte euch auf dem Laufenden!!
16. Januar 2008
Ich schreibe heute wieder nur kurz. Puschel ist noch im Krankenhaus, hat aber kein Fieber mehr und darf voraussichtlich schon morgen wieder
nach Hause kommen. Sie bekommt gerade drei verschiedene Antibiotika, die auf breiter Front alles von ihr fernhalten sollten, was sie
gefährden könnte. Wahrscheinlich aber kann sie die auch zu Hause bekommen. Und dann wird es für die hier auch einfach besser sein. Den
Grund für die Fieber Attacke kennen wir noch nicht. Das wird aber in der nächsten Zeit mit sog. Blutkulturen usw. untersucht. Die Chemo, die
eigentlich morgen in Berlin beginnen sollte, ist nun bis auf weiteres um eine Woche verschoben worden. So sind wir dem Herrn sehr dankbar,
dass alles erst einmal glimpflich abgelaufen ist. Danke euch für eure Gebete. Danke, dass ihr weiter nachschaut und für Puschel betet!! Keep
you informed - ich halte euch auf dem Laufenden!!
17. Januar 2008
Leider ist es nun doch nicht so gekommen, wie wir es erhofft hatten. Puschel konnte heute nicht nach Hause, weil das
Fieber in der letzten Nacht wieder angestiegen war. Und natürlich kann man sie dann nicht nach Hause lassen. Puschel
hatte sehr drauf gehofft und war heute morgen dementsprechend enttäuscht und traurig und mußte das Ganze dann erst
mal verdauen. Jetzt, als ich sie “bettfertig” gemacht habe, war das Fieber wieder weg. Und so hoffen wir, dass das in
dieser Nacht so bleibt und sie nun doch sehr schnell nach Hause kann. Hier ist sie natürlich auch etwas sicherer vor anderen
und zusätzlichen Infektionen. Wir vermuten, dass sie eventuell auch einen Darminfekt bekommen hat, der hier herumgeht.
Aber genauere Untersuchungsergebnisse wird es ohnehin erst später geben (Blutkulturen). So hoffen wir, dass sie das
Wochenende dann hier in Bülow verbringen kann. Danke euch für eure Gebete. Danke, dass ihr weiter nachschaut und für
Puschel betet!! Keep you informed - ich halte euch auf dem Laufenden!!
18. Januar 2008
Puschel ist nun seit drei Stunden wieder zu Hause!!! Das Aufnahmegespräch mit der Oberschwester Eva-Maria hat sie
bravurös überstanden. Sie konnte es von der Badewanne aus absolvieren... Jetzt liegt sie in ihrem eigenen Bett und schläft
erst einmal in aller Ruhe. Sie hatte in Teterow wieder eine überaus freundliche und gute Betreuung, sowohl von den Ärzten
aus als auch von den Schwestern und allem Personal. Das macht die Sache doch immer wieder erträglich. So haben sich
aber auch dort alle mitgefreut, dass sie wieder heim konnte. Jetzt bekommt sie die dreifache antibiotische Behandlung
hier zu Hause weiter. Wenn die fertig ist, werden wir schauen, wie es mit der nächsten Chemo weitergehen kann. Als sie
gerade wieder in ihrem Bett lag, kam ein Anruf aus El Salvador von Gary Powell. Er stand im Glockenturm der neuen
Kapelle und läutete die neue Glocke aus Deutschland!!! Ihr werdet hier bals mehr Infos und auch Fotos bekommen! Danke euch für eure
Gebete. Danke, dass ihr weiter nachschaut und für Puschel betet!! Keep you informed - ich halte euch auf dem Lau fenden!!
20. Januar 2008
Jetzt ist es mit Puschel wie vor dem Krankenhaus. Die spannende Frage ist, wie ist es mit dem Gleichgewicht zwischen allen anderen
Medikamenten funktioniert. Aber im Moment ist es gut für sie.¶ Jetzt werden wir sehen, wann der nächste chemo beginnen wird. Wir werden
es in den nächsten Tagen wissen. Und natürlich werden wir euch das hier bald wissen lassen. Auch infos über der Glocke werdet ihr hier bald
bekommen. Morgen hoffen wir, neue Nachrichten aus El Salvador zu bekommen. So wünschen wir euch eine gute neue Woche unter Gottes
Segen. Dank an IHN und an euch für euer Gebet und all eure Treue. ER ist treu zu uns. IHM können wir allezeit vertrauen!
23. Januar 2008
Nun ist es klar: Puschel muss schon morgen wieder nach Berlin! Auf zur vorerst vorletzten Runde! Ihre Blutwerte sind im Moment (noch) so,
dass es geht. Sie hat jetzt ein paar Tage mit guter Kondition hinter sich, hat viel gemalt und dabei
manche Freude gehabt. Und wenn es nach dem Spass ginge, dann würden wir morgen ganz sicher
nicht nach Berlin fahren. Aber wir sind froh, dass es nun vorerst bald ein Ende haben wird. Dabei ist
unser Gebet natürlich, dass Gott den Krebs wirklich in ihrem Körper ganz beseitigt (hat). Morgen
soll in Berlin dann erst einmal ein CT von der Lunge gemacht werden... Ihr werdet in den nächsten
Tagen wieder ständig auf dem Laufenden gehalten. Gott segne euch und vielen Dank für alle eure
Gebete!!!
25. Januar 2008
So, nun bin ich wieder bei der Familie Dehn in Lobetal, um hier zu übernachten und dadurch in der
Lage, euch wieder die neusten Nachrichten zu geben. Puschel ist seit gestern in der Klinik.
Eigentlich sollte die Chemo möglichst bald beginnen. Allerdings wurden noch einmal die Blutwerte
ermittelt, und es stellte sich heraus, dass es mit diesen Werten nicht geht. So gab es gestern “nur”
ein CT, bei dem sich herausstellte, dass in der Lunge alles in bester Ordnung ist!!!!! Darüber sind wir zunächst ja erst einmal sehr froh und
dankbar! Wenn ihr mögt, dankt gern mit uns!! Ansonsten geht es jetzt ersteinmal darum, dass wir die nächste und dann noch die letzte Chemo
hinter uns bringen. Morgen wird noch einmal das Blut getestet und dann entscheiden, ob die Chemo starten kann, oder ob wir unverrichteter
Dinge für eine Woche wieder nach Hause fahren müssen... Ihr werdet es morgen hier erfahren! Die Chemo wird ohnehin noch einmal
reduziert, weil das Blut es nicht mehr “toleriert”. Aber nun steht alles ein wenig in Frage. Aber wir sind dennoch guter Dinge, denn Gott
weiss, was für den letzten Therapieabschnitt am besten sein wird. Wie gut, dass ER die Dinge in der Hand hat und auch die Entscheidungen
der Ärzte lenken kann!! Danke immer wieder für all euer Gebet! Gott segne euch! Euch allen viiiielen Dank für alle Gebete auch für Peggy. Sie
ist jetzt zu Hause. Genauere Ergebnisse gibt es noch nicht für sie. Im Moment bekommt sie eine Chemo in Form von Tabletten, die sie nun
auch zu Hause einnehmen kann. Wenn ihr an sie erinnert werdet, betet weiter für sie. Ich werde berichten, wenn es Neues gibt.
26. Januar 2008
Kaum hatte ich mich in Lobetal und Puschel im Krankenhaus richtig einquartiert, ist es mal wieder anders gekommen als gedacht. Puschels
Blutwerte sind nun heute früh noch einmal schlechter gewesen als gestern. Und so konnte die Chemo nicht begonnen werden. Über das
Wochenende dort zu bleiben, macht keinen Sinn, weil man nicht weiss, wie es Montag sein wird. Außerdem ist für Puschel jede Stunde, die sie
in der Klinik sein muss, eine zuviel...!! So waren wir unversehend schnell wieder zu Hause! Etwas Gutes hatte die Fahrt immerhin: das CT, das
nötig war und nun auch gezeigt hat, dass alles “sauber” ist in der Lunge. Wie es weitergeht, das hängt von den nächsten Blutuntersuchungen
ab.
So will ich nun über den aktuellen Stand der Glocke berichten. Wie ihr auf den Fotos seht, ist sie bereits in der Kapelle eingebaut. Der
Präsident hatte seine wichtige Unterschrift gegeben, sodass die Glocke vom Zoll freigegeben wurde. Nun war nur noch die Frage, wie teuer
die Lagerkosten werden würden, die der Hafen berechnet. Soetwas kann dort ja auch durchaus schnell ein Problem werden. Aber wir hatten
ja richtig Geld überweisen können, damit all diese Kosten abgedeckt sind. Als Gary Powell die Glocke dann abholen liess, bekam er am Ende
eine Rechnung von 23 Dollar!! Das heißt, er mußte eigentlich nichts mehr zusätzlich bezahlen und konnte so die Glocke, wie wir es uns
gewünscht hatten und wofür viele von uns gebetet haben, ohne zusätzliche Kosten in Empfang nehmen!! Lasst uns dafür einfach Gott danken.
So konnte das Geld (eine genaue Abrechnung kommt dann demnächst auf die Glockenseite) komplett den Kindern zugute kommen! Ich werde
auch darüber noch berichten. Euch allen vielen Dank und ein herzliches “Gott vergelt´s euch”, für alle Unterstützung für dieses Projekt. Es
ist eine echte Ermutigung nicht nur für Puschel selbst, sondern für viele vor allem dort in El Salvador!!
28. Januar 2008
Gestern Abend hatten wir bereits wieder die starke Befürchtung, dass wir Puschel wieder einmal ins Krankenhaus bringen müssten. Sie hatte
plötzlich wieder steigende Temperaturen, die zeitweise über das erträgliche hinausgingen (bei ihr ist alles, was über 38°C ist, absolut
alarmierend!). Für heute war erneut ein Bluttest geplant, der mehr Aufschluss geben sollte, wie es möglicherweise mit der längst fälligen
Chemo weitergehen könnte. Die Leukos sind plötzlich auf 6,4 gestiegen (das ist, wenn es nicht mit Fieber einhergeht, auch sehr gut, aber so
deutet es viel eher auf eine Infektion hin - Medizinkurs Nr 273b...für alle Freunde von Puschel). So stand plötzlich wieder eine mögliche
Infektion im Raum. Diese Gefahr ist auch noch nicht gebannt. Doch Puschels Temperatur ist in ganz normale Bereiche zurück gegangen. Alle
anderen Werte sind ziemlich gut. Morgen wird noch einmal ein (differenziertes) großes Blutbild gemacht, um auch manche Hintergründe
beleuchten zu können. Man möchte halt möglichst schnell die Entscheidung treffen, wann die Chemo losgehen kann. Natürlich halten wir euch
auf dem Laufenden. Im Moment geht es Puschel gut. Wir hoffen und beten, dass Gott ihr einen erneuten Notaufenthalt im Krankenhaus
erspart und ermöglicht, dass die Therapie beendet werden kann. Danke euch für alles Mitbeten und -bangen! Morgen gibts mehr...!
30. Januar 2008
Jetzt sind die neuen Blutwerte da. Und wir sind sehr froh und dankbar, sie scheinen recht stabil und gut zu sein, so gut, dass die Berliner
Ärzte die Chance nutzen wollen, so schnell wie möglich die nächste Chemo zu beginnen. Am Freitag muss Puschel nun wieder nach Berlin.
Und wir hoffen sehr, dass da nun nichts mehr dazwischenkommt, sondern wir das zügig hinter uns bringen können. Und natürlich wird dann
die spannende Frage sein, ob das Blut sich dann für den letzten Durchgang noch einmal so erholen kann, dass dafür nicht ein zu großer
Aufwand nötig ist. Denn da steht dann die Frage im Raum, ob der letzte Schritt überhaupt noch Sinn macht. Grundsätzlich ist das medizinisch
gesehen keine Frage. Aber wenn es für den Körper zu schwierig wird, schon. Besser wäre es aber, wenn es gehen würde. Aber es war schon von
Anfang an richtig, nur einen Schritt nach dem anderen zu gehen und Gott zuzutrauen, dass ER es richtig führt. Schön, wenn ihr mit uns
gemeinsam Gott vertraut und im Beten dran bleibt und selbst erlebt, wie Gott dem Leben wirklich eine Gelassenheit geben kann, die uns Tag
für Tag neu Mut gibt.
Vielen Dank für alles Mit-Beten und Mit-”Bangen”!
Wer draufklickt,
kommt zu mehr
Informationen über
die Bülower Kirche
2. März 2008
Nun werden wir morgen erneut die Blutwerte checken lassen und sehen, ob es dann mit der Chemo losgehen kann. Puschel ist in den
letzten Tagen viel müde, was darauf hindeutet, dass das Blut nicht besonders gut ist, nicht nur bei den Leukos. Aber insgesamt geht es
ihr trotzdem recht gut. Auch heute konnten wir wieder sehr schön bei Sturm und Wetter und herrlichem Sonnenschein nach draussen
gehen. Dabei ist es immer nötig, dass sie ne extra Portion Schmerzmittel bekommt, aber mittlerweile Routine, dass sie selbst die
nötige Dosierung einschätzt. Wir werden euch morgen wissen lassen, wie es weitergeht. Danke für euer Gebet. Danke, das ihr immer
wieder hier reinschaut, um zu sehen, wie es Puschel geht. Es ist wunderbar, die Familie Gottes immer wieder zu sehen und zu erleben.
Gott segne euch.
3. März 2008
Er sprach: Mein Angesicht soll vorangehen; ich will dich zur Ruhe leiten. Exodus 33:14
Leider werden wir uns noch eine Weile mit Blutwerten beschäftigen müssen. Wißt ihr, was Neutrophile sind?? Das sind die kleinen
“Nachrücker-Kumpels” für die Leukos. Das sind die, die sozusagen als nächste in der Leitung sind und mal kleine Leukos werden sollen.
Und wenn da zu wenige sind und die Leukos dann auch noch zu gering, dann ist es kritisch. Und so ist es bei Puschel gerade. Die Leukos
sind bei 1,3 und doe Neutros unter 50%. Und das bedeutet nun, dass die Chemo erst frühestens am nächsten Montag wieder ins Visier
genommen werden kann. So hat Puschel nun zwar länger Ruhe, aber so richtig auch nicht, denn nun besteht wieder die Gefahr einer
Infektion, zumal sie gerade ein wenig Halsschmerzen bekommt... Da hoffen und beten wir nur, dass sie keine wirkliche Entzündung
bekommt... Danke, dass ihr dabei seid! Insgesamt ist Puschel zwar scvhwach, aber es geht ihr doch relativ gut. Wir halten euch auf
dem Laufenden.
7. März 2008
Sorgt euch um nichts, sondern in allen Dingen lasst eure Bitten in Gebet und Flehen mit Danksagung vor Gott kundwerden!
Philipper 4,6
Sicher haben einige von euch jetzt schon mehrmals vergeblich nachgeschaut, ob es was Neues gibt bei Puschel. Das tut mir leid. Ich
hatte in letzter Zeit ziemlich viel zu tun, und auch jetzt ist es wieder weit nach Mitternacht. Aber ich will euch doch schnell wissen
lassen, wie es steht. Es ist zwar nicht so viel passiert. Aber auch das ist ja gut. Es geht Puschel nach wie vor gut. Inzwischen haben sich
die Blutwerte so stabilisiert, dass es nun fast sicher ist, dass am nächsten Montag die letzte Chemo beginnen kann. Danach geht es
zwar mit dem Blut wieder von vorn los, aber wir haben ja die Aussicht, dass es das letzte Mal ist. Zur Chemo wollen wir wieder
gemeinsam gehen, und dann werdet ihr wieder häufiger neue Meldungen bekommen. Puschel macht gerade ein wenig „Winterschlaf“.
Das heißt, sie schläft sehr viel. Aber vielleicht ist gerade das gut für sie. Euch allen immer wieder vielen Dank für alle eure Liebe und euer
Gebet. Gott segne euch. Denn genau das will ER – uns segnen, wenn wir IHN anrufen und Kontakt zu IHM haben.
10. März 2008
Die aktuelle Meldung des Tages: wieder wird die Chemo verschoben: Puschel soll nun, wenn es geht, am Donnerstag in die Chemo kommen.
Es geht ihr trotz der relativ schlechten Blutwerte ganz gut, wenngleich sie heute mit Übelkeit und Müdigkeit zu kämpfen hatte. Dennoch
konnte sie die Physiotherapie bekommen. Ansonsten heute noch einmal Fotos und Infos von ihren Freunden aus Gärtringen, die bei einem
TeenPrayerCongress (Gebets-Wochenende für Teenager) Ein paar Tage vor diesem Treffen wurde der Haupt-Organisator und geistliche Leiter
(Jakob Walter - Missionar aus Bad Liebenzell, jetzt in Mecklenburg - u.a. nachzulesen über ihn hier oder hier) mit akuter Leukämie ins
Krankenhaus eingeliefert und bereits mit der ersten Chemo behandelt. Ihr könnt euch vorstellen, wie sehr dies die Teilnehmer zusätzlich
ins Gebet geführt hat. Betet ihr einfach mal mit für ihn und seine Familie?) Musik gemacht und zu Lobpreis und Anbetung angeleitet haben.
Ihr könnt ihre Freude daran in den Fotos oben sehen. So beten wir wieder einmal, dass es endlich losgehen kann, aber wir wissen auch, dass
Gott am besten weiss, wie es gut ist. Danke für all euer Gebet. Danke für eure Treue bis hierher. Wir haben einen großen Gott, dem wir
ganz und gar vertrauen können und wollen.
12. März 2008
Heute hat sich nun herausgestellt, dass wir morgen nach BErlin fahren werden. Puschel hat heute zwar keicht erhöhte Temperaturen. Und
auch die Leukos sind plötzlich von 1,9 auf 3,8 gestiegen (was oft auf eine Infektion hindeutet). Doch die Berliner Ärzte wollen Puschel jetzt
gern sehen und einschätzen, ob und wann die letzte Chemo starten kann. Wenn möglich wird es spätestens Freitag losgehen. Ihr werdet
informiert. Danke für all euer Gebet. Danke für eure Treue bis hierher. Wir haben einen großen Gott, dem wir ganz und gar vertrauen
können und wollen
14. März 2008
...und plötzlich sind wir wieder zu Hause! Und Puschels Chemotherapie ist damit zu Ende!! Liebe Freunde, ihr dürft mit uns aufatmen
und kräftig Gott danken! Die Untersuchungen in Berlin haben ergeben, dass die letzte Chemo nicht mehr durchgeführt werden sollte,
weil die Blutwerte einfach zu schlecht sind. Wir hatten dies in Gottes Hand gelegt und so nehmen wir es nun auch aus seiner Hand. ER
weiss, was gut ist. So konnte Puschel nun für das Wochenende nach Hause beurlaubt werden. Montag müssen wir noch einmal nach
Berlin. Dann aber werden “nur noch” alle notwendigen Abschluss-untersuchungen gemacht (MRT, CT, Herz-Echo, Hörtest u.a.). Danach
ist die Therapie erst einmal Geschichte - soweit wir das überschauen können! Puschel lag vorhin zu Hause in ihrem Bett und sagte: Ich
kann es noch gar nicht glauben! So wollen wir gemeinsam Gott danken, dass ER bis hierher hindurch geholfen hat! Und euch wollen wir
danken, dass ihr bis hierher durchgehalten habt! Wir wissen natürlich, dass wir noch nicht am Ende sind, aber wir wissen auch, dass
alles Weitere in Seinen Händen liegt. Einen fetten Gruss von Puschel an euch alle! Gott segne euch!
19. März 2008
Nun ist Puschel - zum ersten Mal seit fast einem Jahr - so richtig wieder zu Hause. Die Chemo ist vorbei! Gestern waren alle möglichen
Untersuchungen. Die genauen Ergebnisse liegen noch nicht vor. Aber zunächst ist alles im grünen Bereich! Sie muss nun erst in drei
Monaten wieder nach Berlin - zu ersten Nachuntersuchungen. Jetzt kommt es darauf an, dass sie richtig zu Kräften kommt und der
Körper Zeit hat, vor allem das Blut zu regenerieren. Die verschiedenen Untersuchungen gestern (es ging in der Klinik wirklich 7 Stunden
lang fast non stop) waren doch sehr anstrengend, sodass Puschel heute nicht in der Lage war, aktiv irgendetwas zu tun. Aber das wird
wohl in den nächsten Tagen schon besser werden. Nach wie vor hat sie ziemlich stark mit Schmerzen im rechten Bein zu kämpfen,
sodass sie noch zu viele Schmerzmittel benötigt. Wir hoffen sehr, dass auch das bald nachläßt. Ansonsten freuen wir uns riesig, dass
nun erst einmal alles vorbei ist und hoffen und beten, dass es jetzt einfach nur aufwärts geht. Das Gute ist, dass auch weiter alles in
Gottes Händen gut aufgehoben ist. Ihr werdet hier weiterhin neue Nachrichten bekommen, wenn auch in etwas größeren Abständen.
24. März 2008
Puschel geht es gut. Die Erholung geht langsam, aber offenbar stetig voran. Gestern, am Ostersonntag, war sie zum ersten Mal mit im
Gottesdienst in unsererRenaissancekirche in Bristow. Das war für unsere Gemeinde, aber auch für uns schon ein kleiner Meilenstein.
Und wir sind Gott von Herzen dankbar. Puschel versucht immer wieder, an ihre Grenzen zu gehen. Wir konnten für sie ein kleines
Fahrzeug mit 4 Rädern (Quad) günstig besorgen, mit dem sie es natürlich schon mal probiert hat... Es geht natürlich noch nicht
wirklich und erstrecht nicht lange. Und sie braucht dafür auch noch eine extra Portion Schmerzmittel davor oder danach. Aber für die
Zukunft kann das für sie das erste Stück Freiheit in der Natur bedeuten. Denn darauf kann sie dann ungestört sitzen und muss nicht
Angst haben, umzukippen usw. Ein Bild davon wollten wir euch nicht vorenthalten. Dazu muss natürlich das Wetter noch wärmer und
ihr Gesamtzustand um Einiges stabiler und vor allem schmerzfreier werden. Aber sie hat dadurch eine noch stärkere Motivation,
hochzukommen. Allerdings hat sie die auch so schon. Fast täglich gehen wir für 1-2 Stunden mit ihr an die frische Luft. Und auch jeder
der Besucher darf mal schieben. Denn das ist echt anstrengend... Aber dafür entfällt definitiv das Verlangen, joggen gehen zu wollen...
Vielen Dank für all euere Geduld, auch, weil ihr jetzt wieder fast 5 Tage auf Neuigkeiten hier warten musstet... Danke für euer Gebet.
In Kürze bekommen wir auch die Endergebnisse der letzten Untersuchungen in Berlin.
28. März 2008
un wachsen schon langsam die kleinen Haare auf dem Haupt! Die Augenwimpern sind schon fast vollständig. Sie hat ja auch im Blick auf
die Schönheit den anderen Mädels nur vorübergehend den Vortritt gelassen...(ihr Brief vom 20.Mai 2008) Aber wie gut, dass selbst die
kleinsten Haare alle für unseren großen Gott ihre Bedeutung haben (Matth. 10,30). So dürfen wir IHM auch zutrauen, dass ER alles
Weitere in seiner Hand hat. Heute hat sie noch einmal eine neue Portnadel bekommen (das ist der Zugang zu einer Hauptvene für alle
Flüssigkeiten und Tröpfe). Hier ist immer das Wichtigste, dass sich nichts entzündet. In drei Monaten soll der Port dann wahrscheinlich
bereits operativ wieder entfernt werden, weil er ein zu großes Infektionsrisiko darstellen könnte. Puschel hat nach wie vor mit
Schwachheit und Müdigkeit zu kämpfen. Aber sie ist in den Nachmittags- und Abendstunden dann ziemlich wach und aktiv. Aber wir
werden noch ne Menge Geduld brauchen. Dennoch ist immer noch und immer mehr jeder Tag ein Geschenk. Und für alle diese
Geschenke wollen wir dem Herrn von Herzen dankbar sein.
30. März 2008
Diesen Vers hatten wir heute als Predigttext (Jesaja 40,26-31) im Gottesdienst. Und hier sass Puschel heute zum ersten Mal im
normalen Rollstuhl dabei. Und sie hat ganz und gar durchgehalten! Das war für uns alle ein ganz besonders Geschenk! Es ist schön, zu
sehen, wie sie sich Tag für Tag ein klein wenig stabiler fühlt. Natürlich in ihren Grenzen. Aber die versucht sie, ständig zu erweitern,
wie ihr an den Bildern oben sehen könnt. Der Frühling kommt mit Macht, und Puschel kann mehr und mehr , wenn auch immer nur für
relativ kurze Zeit, nach draussen gehen. Vielen Dank, dass ihr weiter für sie betet. Sie wird es jetzt genauso brauchen wie bisher. Aber
wir konnten mit euch erleben, wie Gott hindurchgetragen hat und dies auch weiter tun wird. Die Ergebnisse der letzten
Untersuchungen liegen leider noch nicht vor. Wir werden sie euch auf jeden Fall präsentieren, wenn es soweit ist, sorry. Wir halten
euch auf dem Laufenden.
2. April 2008
Nun vergehen die Tage wie im Flug, der Frühling wird kommen, und Puschel freut sich auf die Tage, an denen sie sich einfach in die Sonne
bzw. in die frische Luft legen kann. Wir hatten gerade für zwei Tage die Befürchtung, dass eine Infektion mit Fieber im Anmarsch sein
könnte. Das scheint jedoch an ihr vorüber gegangen zu sein. Das ist natürlich jedes Mal eine Zitterpartie, weil dann immer gleich (und das
wird sicher noch ein paar Monate so sein) das Krankenhaus droht. Aber so erholt sie sich wirklich Tag für Tag. Und darüber können wir nur
staunen und Gott loben und danken. Und wie ihr an dem Foto oben links seht - die Augenbrauen sind schon fast wieder normal vorhanden.
Dadurch sieht sie natürlich von vornherein gesünder und besser aus. Und so ist hier jetzt auch der Platz, an dem wir einfach auch gute
Meldungen bringen können. Bisher ist doch alles wirklich ein Wunder Gottes. Denn die Anfangsprognose war ja wirklich sehr schlecht. Und
nun sieht es doch sehr anders aus, wenngleich wir natürlich noch nichts Endgültiges sagen können. Die Ergebnisse der letzten
Untersuchungen sollen in ein paar Tagen hier sein.
6. April 2008
Puschels Blutwerte sind gerade wieder etwas abgesackt. Das ist natürlich nicht gerade erfreulich. Sie sind nicht besorgniserregend. Doch sie
sind sodass sie auch noch nicht unbedenklich unter Leute gehen kann. Doch Puschel konnte auch heute wieder im Gottesdienst unserer
Gemeinde sein. Und das ist immer wieder ein Grund zum Jubeln. Es ist einfach ein Geschenk, das Gott uns macht. Und dafür wollen wir IHM
von Herzen danken. Und so hoffen und beten wir nun, dass die Stabilisierung weiter voranschreitet und auch die Knochen in der Hüfte so
nach und nach fester zusammenwachsen. Unser Gebet ist, dass Gott sie von Rückschlägen mit Fieber u.a. verschont. Wie gut, dass wir einen
Herrn haben, der das alles sieht und weiß und unter Kontrolle hat. An den gemalten Bildern könnt ihr sehen, dass Puschel immer wieder und
sehr gern aktiv ist. Auch versucht sie, so oft wie möglich in die Natur zu kommen. Wenn nun die Tage hoffentlich bald wärmer werden, wird
dies für sie sicher auch immer leichter möglich.
12. April 2008
Die auf den HERRN harren, kriegen neue Kraft, daß sie auffahren mit Flügeln wie Adler, daß sie laufen und nicht matt werden, daß sie
wandeln und nicht müde werden. Jesaja 40,31
Gestern ging es Puschel nicht wirklich gut. Sie hatte sich ein wenig erkältet und war dementsprechend verschnupft und geschwächt.
Allerdings ging es heute bereits wieder etwas besser. Und so hoffen wir, dass der “Aufwärtsgang” nicht zu Ende ist. Wie ihr an den Fotos
sehen könnt, erholt sich der Organismus nun doch zusehends. Sie hat das Foto ohne Mütze “authorisiert”. Und es ist ja auch nicht zu
leugnen, dass sie sich durchaus wieder so sehen lassen kann, oder?
Leider sind ihre Blutwerte noch nicht wieder wirklich gut. Die Leukos stagnieren auf niedrigem Niveau, sodass sie für Infektionen eben noch
sehr anfällig bleibt. In den nächsten Tagen wird sie selbst mal wieder ein paar Sätze schreiben. Das Malen oder andere Aktivitäten fallen ihr
doch immer leichter, als die richtige Konzentration auf das Formulieren von Sätzen. Vielen Dank, dass ihr sooo viel Geduld habt. Danke
auch, dass ihr weiter für sie betet und an sie denkt. Gott segne euch in eurer Treue und Liebe!
20. April 2008
In den letzten Tagen ging es Puschel zwar wieder mal besser, mal schlechter. Doch insgesamt wird sie beständig stabiler und kräftiger.
Puschel versucht jeden Tag ein Stück mehr auf die Beine zu kommen. Das gelingt ihr auch zusehends. Und dafür sind wir natürlich sehr
dankbar und froh. Beim Wachsen ihrer Haare kann man fast zusehen, sodass sie jetzt bereits eine kleine “Matte” auf dem Haupte trägt.
Leider haben wir immer noch keine genauen Aussagen über die Ergebnisse der letzten Untersuchungen. Aber wir gehen davon aus, dass sie
so, wie die ersten Aussagen der Ärzte waren, “ohne Befund” sind. Es ist schon gar nicht mehr so lange hin, dass wir die ersten
Nachuntersuchungen angehen müssen... Eine nachfolgende Reha wird Puschel erst dann antreten können, wenn die Blutwerte dies zulassen.
Gerade ist ein “Brief” an euch von Puschel in Arbeit, den ihr dann in den nächsten Tagen hier lesen könnt. Vielen Dank euch allen für eure
Geduld und eure Treue - und noch mehr für euer Gebet. Gott segne euch. In IHM sind wir verbunden - wie großartig ist dies doch!
28. April 2008
Heute schreibt Puschel selbst folgendes:
Am liebsten würde ich mit euch allen eine Stunde haben, in der wir zusammen Lieder zur Ehre Gottes singen und erzählen könnten,
was Gott im letzten Jahr in unserem Leben Gutes getan hat - und dann Ihm dafür danken!! Da das nicht möglich ist, kann ja jeder für
sich überlegen und sich persönlich bei Gott dafür bedanken. Ich weiss, dass man das oft beim Jahreswechsel macht, aber es schadet
zwischendurch auch nicht. Auf dass euch Tränen kommen für seine Treue - Tränen der Dankbarkeit und Freude... :-) Gestern bin ich
zum ersten Mal seit der Operation wieder auf Saba geritten. Das ist das grosse Pony von Lucia, meiner Freundin. Keine Angst, ich bin
nicht galoppiert! Aber da kamen mir die Tränen. Denn mir wurde richtig deutlich bewusst, was Gott Gewaltiges getan hat. Am gleichen
Tag kamen auch die Berichte vom Krankenhaus, in denen als Ergebnis nach der Chemo deutlich stand, dass absolut keine neuen
Tumorzellen sichtbar sind. Oh, wie bin ich Gott dankbar für die Heilung bis hier her, dass er mir eine neue Möglichkeit zu leben
schenkt und sogar mein liebstes Hobby wieder möglich macht, obwohl ich nicht mal laufen kann. Es bleibt natürlich die Bitte um
weitere Heilung und dass sich keine neuen Tumorzellen bilden, was bei mir natürlich immer noch viel schneller möglich ist, als bei
den meisten von euch. Danke an Gott und an euch alle, meine lieben Freunde!!
4. Mai 2008
Wir sind überaus dankbar dafür, dass es Puschel im Moment wirklich gut geht. Sie hat heute eine neue Portnadel bekommen, was gut
für sie ist, weil sie darüber die meisten Medikamente am einfachsten und ohne immer neue Einstiche zu verursachen, bekommen
kann. Sie braucht immer wieder extra Portionen Morphium, die es ihr dann ermöglichen, mobil zu sein und mobiler zu werden. Im
Moment ist es wichtiger für sie, damit nicht zu sehr zu sparen, sondern an die frische Luft zu gehen und insgesamt stabiler zu werden.
So ist sie auch heute wieder mit einigen Freundinnen in die Natur gefahren - natürlich mit dem Quad... Und obwohl der Lebensmut
und die Lebensfreude sie nie verlassen hatte (wie ihr wisst), gibt ihr das natürlich immer zusätzliche Motivation. Ihre Freundin Inge,
die sie aus Schweden kennt, hat mit ihr gemeinsam einiges unternommen und ihr einen Laufstall für die Wiese für ihre Kleintiere
(Kaninchen und Meerschweinchen) gebaut. Die Tiere sind immer eine ihrer großen Freuden. Vorsichtig muss sie dennoch weiterhin
sein, denn die Blutwerte bessern sich im Moment noch nicht wirklich, zumindest nicht die Menge der Leukozyten. So bleibt dies weiter
ein (Gebets-)Anliegen. Denn das entscheidet auch immer über die Möglichkeit, unter Menschen zu gehen oder nicht. Danke euch allen
für jeden Blick immer wieder auf diese Seite!!! Gott segne euch und gebe euch eine gute neue Woche!
14. Mai 2008
Es tut mir sooo leid!!! Ihr musstet so lange auf Neuigkeiten warten. Jetzt will ich (Puschels Papa) euch sagen, warum:
Die Jugendgruppe unserer Gemeinde nimmt jedes Jahr an einem Pfingstjugendtreffen in Süddeutschland teil: Pfingstjugendtreffen
Aidlingen. Dort treffen sich jedes Jahr ca. 6000 junge Menschen, um das Wort Gottes zu hören, IHN anzubeten und
zusammenzukommen. Im Diakonissenmutterhaus Aidlingen hat Puschel ein Jahr lang als Freiwilliger gearbeitet. Hier gibt es viele
Schwestern und Freunde, die für Puschel gebetet haben und immer noch beten. Es war für Puschel nie eine Frage, ob er mit unserer
Jugendgruppe in diese Lager fahren kann (wegen der niedrigen weißen Blutkörperchen). Die Leukozyten müssen etwa 3 sein, damit sie
genug Immunität hat. Auch die letzte Blutuntersuchung ergab nur 1,9 Leukos. Es war also klar, dass Puschel nicht mitfahren kann. Der
nächste Bluttest war also direkt vor unserer Reise. Und Puschel wollte auf bessere Leukos warten und sehen, was Gottes Wille für sie
sein wird. Sie sagte: Ich möchte 2,8 Leukos haben, dann kann ich gehen. Und ich habe gesagt: Ich möchte nicht viel mehr als 3 haben
(weil das ein Zeichen für eine Infektion ist) und nicht viel weniger als 2,5... Und was kann ich Ihnen sagen? Puschels Leukos waren nicht
über 2,7 oder 3, sondern direkt 2,8!!! Gelobt sei der Herr!! Also fragten wir unseren Arzt nach seiner Meinung... Aber der Arzt sagte
wirklich glücklich: es wäre das Beste für Lydia zu gehen, wenn sie gehen will. Denn die emotionalen und psychologischen Dinge sind
sehr wichtig und hilfreich für ihren Zustand. Also kam Puschel mit uns
20. Mai 2008
“Lobet den Herrn all ihr Volker, Lobet Ihn alle Menschen auf Erden. Denn seine Gnade ist groß und seine Treue besteht für alle Zeit.
Hallelulja(Lobet Gott)! “ Psalm 117
Heute möchten wir euch einfach mal nur danken und euch ermutigen, Gott mit uns zu danken! Denn es geht Puschel nach wie vor sehr
gut. Sie wird Tag für Tag stabiler und kräftiger. Sie mobilisiert sich Stück für Stück weiter und mehr, und das gibt ihr immer mehr
Möglichkeiten, sich “ihre Welt” wieder zu erobern. Sie ist jeden Tag etwas mehr unterwegs und hat auch schon so gewichtsmäßig
zugenommen, dass sie richtig gesund aussieht. Natürlich wissen wir, dass erst die nächsten Monate und Jahre zeigen werden, ob der
Krebs in ihrem Körper wirklich “nichts mehr zu sagen hat”. Aber auch da wissen wir, dass wir einen Herrn haben, der alles, auch über
den Krebs zu sagen hat!! Und wenn ihr weiter mit uns betet, dass auch die nächste Untersuchung, die Mitte Juni sein soll, positiver
Ergebnisse hat, dann sind wir dafür natürlich sehr dankbar. Und natürlich halten wir euch hier weiter auch in etwa wöchentlichen
Abständen auf dem Laufenden. Im Moment liegt es uns einfach am Herzen, Gott zu loben und IHM zu danken! Und euch danken wir
auch jetzt wieder für eure Treue und Liebe und jedes Gebet. Gott segne euch alle!
24. Mai 2008
Ihr könnt es sicher nachvollziehen, dass wir in diesen und den nächsten Tagen so manches Mal an die Zeit vor einem Jahr zurück
denken. In ihrem Tagebuch steht unter dem 24. Mai z.B. der Satz:“Sie hat sich heute von ihren Haaren nun für die nächsten Monate
verabschiedet. Und sie trägt ihre neue “Frisur” mit einer Würde, die ihrem tiefen Verwurzelt-Sein in dem Vertrauen und der Liebe zu
Jesus entspricht. Es ist sicher für ein Mädchen besonders schwer, sich von der äusseren Pracht so zu verabschieden, besonders, wenn
man vorher lange Haare getragen hat. Bei allem ist bisher die Freude und der Friede weder aus ihrem Herzen noch aus ihrem Gesicht
gewichen. Und das hat auch sehr viel mit eurer Liebe und euren Gebeten zu tun!!”
Bis heute hat sich nur in sofern etwas geändert, dass die Haare nun wieder wachsen und sie gern auch wieder ohne Mütze
herumläuft... Ansonsten hat Gott ihr alle Freude erhalten und noch sehr verstärkt. Und wir hoffen sehr, dass auch ihr gestärkt und
erfreut seid, wenn ihr hier sehen dürft, wie Gott uns trägt und zu uns steht und uns seine Wunder sehen lässt. Wir wissen nicht, wie ER
es mit Puschel weiter führen wird. Aber wir wissen, dass ER da ist und jeden Weg mitgeht. Und dann zu erleben, wie Gottes große
Familie zusammensteht, wie ihr alle so treu im Beten, im Hoffen und Bangen dabei wart und noch seid, dann kann man doch an Gott
nicht mehr zweifeln, oder? Wenn auch manche Wege für uns nicht gleich verstehbar sind, so wollen sie uns doch immer dazu führen,
dass wir IHM mehr vertrauen! Puschel geht es weiter sehr gut! Sie braucht für ihre Aktivitäten zwar noch erhebliche Schmerzmittel.
Aber sie kommt so gut auf die Beine, wie wir es nie zu hoffen gewagt hätten. Das ist Gottes Geschenk, für das ihr mit gebetet habt,
und wir dürfen Seine Wunder sehen. Gott sei Dank!
27. Mai 2008
Es ist für uns wirklich ein Wunder und ein riesiges Geschenk, dass wir den heutigen Tag so deutlich unter anderen Vorzeichen begehen
konnten als vor genau einem Jahr. Damals, an ihrem 24. Geburtstag, hatte Puschel gerade die zweite Chemo vor sich und verlor ihre
Haare. Es sollte die “MTX” kommen, eine Chemo, die sie denkbar schlecht vertragen hat. Die Ärzte und Schwestern meinten damals:
sie nimmt auch alle Nebenwirkungen mit, die es geben kann... Heute reitet sie sogar schon wieder auf Saba, ihr könnt es oben sehen.
Wir wissen, dass das alles noch kein “endgültiger Zustand” ist. Aber wir nehmen jeden Tag dankbar aus Gottes Hand. Und es ist uns
immer wieder ein Geschenk, dass ihr alle das mit uns tut. Angefangen bei den Aidlinger Schwestern, bei denen wir dies über Pfingsten
so deutlich erlebt haben, bis hin zu all denen von euch, die ihr/uns dies durch Mails oder Gespräche signalisieren, wird uns immer neu
deutlich, welches Geschenk im Gebet und allem Zuspruch der Geschwister liegt. Das ist eine unglaubliche Stärkung. Es ist so, wie wir
es kürzlich von verfolgten Christen in China gehört haben, die durch das Gebet vieler Geschwister gestärkt und ermutigt werden. Bitte
nehmt heute sie mal besoders in euer Gebet. Betet, dass sie durchhalten, mutig bleiben, getröstet werden Mehr Infos unter
http://www.opendoors-de.org/ Vielen vielen Dank dafür! Gott segne euch immer neu.
1. Juni 2008
Heute gab es für uns zunächst eine gewisse Schrecksekunde. Als nämlich klar wurde, dass wir Puschel, sie war vorher - unter
erschwerten Bedingungen - noch im Sonntagsgottesdienst unserer Gemeinde - wieder einmal ins Krankenhaus würden bringen müssen.
Sie hatte schon gestern starke Bauchschmerzen, die nicht aufhörten und auch heute eher stärker als geringer wurden. Irgendwann war
die Frage, ob es eine Blinddarmentzündung sein könnte... Und damit ist natürlich in der derzeitigen Verfassung des Blutes nicht zu
spaßen. Statt Spaß in der Natur musste sie nun also mal wieder ins Krankenhaus. Dort konnte man jedoch nichts Negatives finden,
sodass erst einmal abgewartet werden kann und muss. So war sie sehr dankbar und froh, dass sie am Nachmittag nicht im Krankenhaus
liegen musste, sondern mit zu ihrer Cousine in die Nachbarschaft fahren konnte. Die Fotos davon sehr ihr oben.
Immer wieder treffen wir Menschen, die so treu für Puschel beten und dies auch immer wieder signalisieren. Auch ihr, die ihr hier
immer wieder reinschaut, seid so treu darin und im Beten. Vielen vielen Dank dafür. Das beschämt und ermutigt uns immer wieder aufs
Neue. Gott segne euch.
3. Juni 2008
In den vergangenen Wochen, fast Monaten konnten wir euch immer wieder gute Meldungen schreiben. Das ist jetzt nicht anders. Es
geht Puschel - gemessen an den gesamten Umständen - sehr gut! Dafür sind wir Gott von Herzen dankbar. Sie konnte, wie ihr wisst,
schon beim Pfingstjugendtreffen in Aidlingen dabei sein und kann auch sonst schon sehr am Leben um sie herum teilhaben. So ist sie in
diesen Tagen im Zelt dabei in der Kinder-Zelt-Woche der DZM in einem unserer Dörfer. Ich will heute aber auch einmal das schreiben,
was für das Tägliche von erheblicher Bedeutung ist: Puschel lebt Tag für Tag mit einer Dosis an Schmerzmedikamenten, die wir alle
normalerweise nicht einen Tag verkraften würden. Das ist natürlich Gewöhnungssache. Aber es macht auch deutlich, wie sehr ihr Leben
im Moment (noch) davon geprägt ist. Da ist es schon ein Gebet, dass die Schmerzen so langsam weniger werden. Es könnte sein, dass
auch die Muskeln, die noch da sind in ihrem Becken, nun an neue Aufgaben gewöhnt werden müssen für die, die seit der OP nicht mehr
da sind. Das kann auch Schmerzen verursachen. Außerdem hat sie in den letzten Tagen deutlich mehr Schmerzen, und wir müssen
versuchen, irgendwie herauszubekommen, woran genau das liegt. Und dann sind ja in den nächsten zwei Wochen die nächsten
komplexen Untersuchungen dran (es sind nun schon fast drei Monate (!) vorbei). Und da ist es natürlich unser größtes Gebetsanliegen,
dass da nichts (Krebsmäßiges) gefunden wird.
Es gibt also bei aller Freude jetzt auch Einiges an Gebetsanliegen. Es muss auch überlegt werden, ob es nicht sinnvoll ist, die
Untersuchungen vorzuziehen usw. Danke, dass ihr weiter mitbetet. Das ist eine große “Entlastung”. Gott segne euch.
5. Juni 2008
Nun haben wir euch viele Wochen fast nur Positives berichten können. Einschränkend muss man, wie ihr es vom 3. Juni lesen konntet,
sagen, dass doch auch manche Dinge nach wie vor nicht so einfach sind. Heute allerdings gibt es wirklich etwas Schwieriges zu
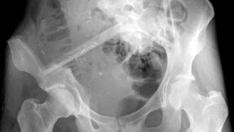
vermelden. Ich erinnert euch alle an die Bilder, die wir euch nach der Operation gezeigt haben. Hier ist es auf dem Foto noch einmal zu
sehen. Es ist ihr operativ das rechte Wadenbein aus dem Bein entfernt und als Stütze in das Becken eingesetzt worden, dort, wo vorher
die Beckenschaufel war. Das ist schon ein Meisterwerk ärztlicher Kunst gewesen. Und Gott hat Gelingen und Segen dazu gegeben. Die
Schmerzen, die Puschel in den letzten Tagen mehr hatte als sonst, rühren jetzt daher, dass der Knochen etwa an der Stelle, auf die der
Pfeil zeigt, richtiggehend durchgebrochen ist. Die Ärzte sprechen von einem Ermüdungsbruch. Der Knochen ist in der Substanz während
der Zeit der Chemo und der dadurch beabsichtigten Verhinderung der Neubildung von Zellen (Zielpunkt waren natürlich die
Krebszellen) zurückgegangen und ermüdet. Das große Problem ist, dass nun noch weniger Stabilität da ist und der Knochen erst wieder
zusammenwachsen muss. Darum werdet ihr, wenn ihr hier reinschaut, nun wieder mehr Bilder von “Puschel im Liegen” sehen. Das ist
für Puschel natürlich bei dem schönen Sommerwetter sehr schwer, aber sie hat ihre Fröhlichkeit nicht eingebüßt. Danke, dass ihr
weiter für sie betet. Sie wird es weiter brauchen. Gott kann das Knochenwachstum schenken! Und er kann das Krebswachstum
verhindern. denn ER ist der “Chef im Ring” Und ER hat es in der Hand.
10. Juni 2008
An den Bildern seht ihr: Puschel ist “die Alte”. Sie musste sich mit der Situation abfinden und hat dies auch getan Zur Zeit läuft bei uns
in der Gemeinde ein “Soccer-Camp” mit einigen Fussballern (Trainer, Spieler, Missionare) aus England und Amerika, die anlässlich der
EM2008 hier mit den Kids Training machen und Fussball schauen, aber auch von ihrem Glauben erzählen. Heute war noch ein deutscher
Bundesliga-Trainer (Nachwuchs) mit dabei, den wir schon lange kennen. Am Vormittag gibt es jeweils 4 Unterrichtsstunden in einer
Schule. Da ist es für Puschel sehr schön, zwischendurch viel englisch reden zu können... Es ist also viel los, deshalb auch die
Pause.Vielleicht mag ja dieser oder jener für diese Woche hier beten!!.. Danke für eure Geduld. Und danke für euer Gebet für Puschel!!!
Wir denken natürlich schon voraus in die nächste Woche, in der die ersten Nachuntersuchungen kom
men werden (19.6.). Gott kann den Krebs in die Schranken weisen und Puschel Beweglichkeit zurückgeben!! Einige haben auch immer
mal nach Sophie und Peggy gefragt. Von Peggy wissen wir im Moment nichts Konkretes. Bei Sophie werden jetzt bald die
Nachuntersuchungen kommen. Es scheint auch bei ihr eine Stabilisierung zu geben. Sie hat jetzt gerade ihre Behandlung
(Chemotherapie) beendet und wird eine Kur machen. Wir informieren euch, sobald wir was Genaues über Ergebnisse wissen Wir sind
echt dankbar, dass etliche von euch so auf die Bitte um Gebet reagiert haben. Gott vergelte euch euren Einsatz!
Würdet ihr bitte noch einmal eine andere Familie im Gebet begleiten?Da ist ein deutsches Mädchen mit Namen Karin und ungefähr in meinem Alter. Sie hat
vor kurzem die Diagnose Krebs bekommen, aber anders als bei mir haben die Ärzte ihr gesagt, dass sie wahrscheinlich nicht mehr viele Wochen leben wird.
Bitte fragt Gott, ob er ein Wunder tut und sie heilt und wie auch immer die Familie tröstet und „umarmt“. Sie hat noch 2 Schwestern. Ihr könnt euch
vorstellen, dass diese Zeit sehr schwer für die Familie und Freunde ist. Erleichternd zu wissen, dass Karin Jesus gehört. Mögen sie und ihre Familie Gottes
Frieden erfahren und ihn in besonderer Weise spüren.
14. Juni 2008
„Seid fröhlich in Hoffnung, geduldig in Trübsal, beharrlich im Gebet!” Römer12,12
An den Bildern könnt ihr schon sehen, dass hier in den letzten Tagen wirklich ziemlich viel los war. Wir hatten in der Gemeinde eine sehr intensive Zeit mit
vielen Aktionen und vielen Gästen. Mit einem kanadischen Ehepaar haben Mitarbeiter unserer Gemeinde und der DZMᅠ(www.dzm.de)ᅠVeranstaltungen in den
Dörfern durchgeführt, die an ältere Menschen gerichtet waren. Mit einem Team von sportsreach(www.sportsreach.org.uk/) in England und vom Bodenseehof
der Fackeltr¦ger in Deutschland haben wir gleichzeitig ein Soccer- (also Fussball-) Camp durchgeführt. Wir haben dadurch viele neue Kontakte zu Menschen
in unseren Dörfern und der Stadt knüpfen können. Gott wird die Saat aufgehen lassen!
Puschel hat nun noch einen Tag, bevor wir Montag früh wieder nach Berlin los müssen. Dort wird es spannend werden. Denn es wird wichtige
Nachfolgeuntersuchungen geben, die Aufschluss geben über “Sein oder Nichtsein” von Krebs in ihrem Körper. Aber auch dies hat Gott in seiner Hand. Danke,
dass ihr alle weiter so treu für sie betet!!! Es wird allerdings auch der Zustand ihrer Knochen im Becken untersucht werden. Auch da hoffen
wir sehr, dass es sich positiv zeigt. Aber ihr sehr an den Fotos, dass sie keineswegs deprimiert ist, obwohl sie nun schon wieder fest im Bett
liegen muss.
Heute haben wir euch einen neuen Text von ihrauf diese Seite gebracht. Wenn ihr mögt, lest ihn in Ruhe durch. Besonders ans Herz legen
möchten wir euch auch den letzten Abschnitt:”Würdet ihr bitte eine andere Familie mit Gebeten begleiten?Da ist ein deutsches Mädchen
mit Namen Karin...”Es ist so gut zu sehen, wie ihr bisher auf diese Bitten reagiert habt. Wir lassen euch auch hier Neuigkeiten wissen!!
Danke für alles Gebet! Danke für alle Liebe! Gott segne euch!
18. Juni 2008
Nun sind wir wieder zu Hause! Puschel geht es nach wie vor recht gut. Sie hat noch immer deutlich mehr Schmerzen durch den Bruch des
Wadenbeins in ihrem Becken. Aber mit der Zeit und der nötigen Ruhe kehrt auch wieder mehr Ruhe in die Knochen ein...
Viele von euch möchten jetzt wissen, wie es mit den Untersuchungen gestern ausgegangen ist. Leider können wir euch hier noch gar nichts
sagen. Das einzige, was wir euch hier sagen können, ist, dass ihr Herz auch untersucht wurde und völlig in Ordnung und durch die lange
Chemo nicht in Mitleidenschaft gezogen worden ist. Das ist ja auch schon was. Die Untersuchungsergebnisse im Blick auf Krebszellen werden
wir euch hoffentlich am Wochenende mitteilen können! Morgen früh muss ich selbst erst einmal zu einer Augen-OP (grauer Star), die aber
ambulant durchgeführt wird. Wenn da alles gut verläuft (danke auch da für dieses oder jenes Gebet!), dann werde ich euch auf jeden Fall
weiter direkt über alles auf dem Laufenden halten können.
Und noch was Wichtiges:Wir hatten euch ja um Gebet für Karin und ihre Familie, besonders ihre jüngeren Schwestern gebeten
(s.unten). Karin braucht gerade künstlicher Beatmung. Sie selbst hat den Frieden unseres Herrn fest in ihrem Herzen. Betet bitte, dass
der Herr Jesus sie weiter, aber ganz besonders auch ihre Schwestern und Eltern mit seinem Frieden und seiner Liebe so fest umgibt,
dass sie IHM vertrauen können. Und, dass sie merken, wie er hindurch trägt. Wir können Gottes Wege oft nicht verstehen (Jesaja 55,8).
Aber wir haben erfahren und wissen, dass Seine Wege gut sind. Und: Gott kann Karin heilen, das wissen wir auch, aber vielleicht ist es
ja für sie besser mit Jesus zu sein, ohne Schmerzen und Krankheit, mit einem neuen Körper. IHM wollen wir fest vertrauen, dass ER es
mit unserer Schwester im Herrn gut macht. Danke, wenn ihr ganz intensiv mitbetet! Gott segne uns alle!
20. Juni 2008
Heute schreibe ich (Puschel) mal einen kurzen Bericht für Euch. Mir geht es sehr gut. Ich hüte fleißig mein Bett oder liege draußen im
Rollstuhl. Aber keine Angst, ich habe trotz allem keine Langeweile. Was ihr wohl alle macht?Ich kann zwar nicht immer antworten, aber
freue mich immer über Nachricht.
Papa hatte gestern seine Augen-OP, die soweit gut verlief. Heute ist er zur Kontrolle gefahren und noch im Wartezimmer umgekippt.
Ihm geht es jetzt wieder gut. Wir wissen aber nicht wodurch der Zwischenfall ausgelöst wurde. Vielen Dank für Eure Gebete für meine
Familie. Ich möchte Euch auch ermutigen immer wieder für Karin und ihre Familie zu beten(s.unten). Soweit sind keine Veränderungen
Es ist ist gerade einfach nur sehr wichtig, im Moment wichtiger, wenn Ihr für sie und ihre Familie betet, als dass Ihr für mich betet.
Aber ich weiss, ihr tut dann Beides...:-)) Danke!
Und noch was Wichtiges:Wir hatten euch ja um Gebet für Karin und ihre Familie, besonders ihre jüngeren Schwestern gebeten (s.unten). Karin braucht
gerade künstlicher Beatmung. Sie selbst hat den Frieden unseres Herrn fest in ihrem Herzen. Betet bitte, dass der Herr Jesus sie weiter, aber ganz
besonders auch ihre Schwestern und Eltern mit seinem Frieden und seiner Liebe so fest umgibt, dass sie IHM vertrauen können. Und, dass sie merken, wie er
hindurch trägt. Wir können Gottes Wege oft nicht verstehen (Jesaja 55,8). Aber wir haben erfahren und wissen, dass Seine Wege gut sind. Und: Gott kann
Karin heilen, das wissen wir auch, aber vielleicht ist es ja für sie besser mit Jesus zu sein, ohne Schmerzen und Krankheit, mit einem neuen Körper. IHM
wollen wir fest vertrauen, dass ER es mit unserer Schwester im Herrn gut macht. Danke, wenn ihr ganz intensiv mitbetet! Gott segne uns alle!
22. Juni 2008
Es ist für uns immer wieder unglaublich und ein wirkliches Geschenk, dass ihr immer wieder hier reinschaut und uns wissen lasst, dass ihr immer noch treu
im Gebet hinter Puschel steht. Wir können euch gar nicht so recht beschreiben, welche große Ermutigung das alles für uns ist. Und wir erleben auch immer
wieder, wie sehr andere durch das alles ermutigt werden, unserem Herrn ganz neu oder wieder neu zu vertrauen. Hier wird für uns Gemeinde Jesu wirklich
sichtbar! Es ist auch so schön, zu erleben, wie dieser oder jener schreibt (sorry, wenn Puschel lange braucht, um mal zurückzuschreiben, aber sie bemüht
sich inzwischen sehr, möglichst vielen von euch zurückzuschreiben!), der Puschel gar nicht kennt. So Mancher hat dabei auch signalisiert, dass er/sie durch
Puschels und euer Zeugnis neuen Mut zum Glauben bekommen hat. Dafür sind wir unserem Herrn besonders dankbar. Wir haben die Ergebnisse
der letzten Untersuchungen leider noch nicht, hoffen aber, sie euch morgen hier mitteilen zu können. Es geht ihr soweit recht gut, die Blutwerte
sind nach wie vor gerade ausreichend, besonders die Leukos kommen nicht recht in Gang. Aber das ist vor allem dadurch erklärbar, dass ihr ein
erheblicher Teil der Beckenknochen fehlt. Und in denen werden die weißen Blutkörperchen gebildet. Aber dennoch sind sie so, dass sie kaum
Angst vor Infektionen haben muss.
Es ist aber auch so schön, dass viele von euch signalisiert haben, dass sie für Karin beten. Ihr geht es nicht gut, sie braucht unsere Fürbitte ganz
besonders. Es ist super schön, zu wissen, dass sie in Jesus geborgen ist und, was auch geschieht, weiss, dass sie in seinen Händen gut aufgehoben
ist. Gott kann Wunder tun, das wissen wir. Und dafür dürfen und sollen wir voller Glauben und Vertrauen beten. Aber es ist ebenso wichtig, dass
unser Herr sie in seinem Frieden ruhen lässt, wie immer er sie führt. Und dass er ihrer Familie ebenso seinen Frieden und seine große Liebe
sichtbar und erlebbar macht. Betet einfach auch für alle, die direkt mit ihr zu tun haben.
24. Juni 2008
”In den bildgebenden Verlaufsuntersuchungen ergab sich kein Hinweis für eine Metastasierung oder ein Lokalrezidiv”
Ihr könnt inzwischen ermessen, was das für Puschel und für uns alle und damit auch euch bedeutet...!! Die Nachuntersuchungen haben keinerlei
Hinweis auf die erneute Bildung von Krebszellen gegeben. Dafür dürfen wir unserem Herrn heute einfach ein “Halleluja” und “Danke” zurufen.
Schön, dass ihr dies mit uns tut. Der Arztbrief ist heute gekommen, und so wollten wir euch das Hauptergebnis gleich zur Kenntnis geben
Es ist aber auch so schön, dass viele von euch signalisiert haben, dass sie für Karin beten.
Bei aller Freude wollen wir weiter für sie beten! Ihr geht es nicht gut, sie braucht unsere Fürbitte ganz besonders. Es ist super schön, zu wissen,
dass sie in Jesus geborgen ist und, was auch geschieht, weiss, dass sie in seinen Händen gut aufgehoben ist. Gott kann Wunder tun, das wissen wir.
Und dafür dürfen und sollen wir voller Glauben und Vertrauen beten. Aber es ist ebenso wichtig, dass unser Herr sie in seinem Frieden ruhen lässt,
wie immer er sie führt. Und dass er ihrer Familie ebenso seinen Frieden und seine große Liebe sichtbar und erlebbar macht. Betet einfach auch für
alle, die direkt mit ihr zu tun haben.
27. Juni 2008
Vielen Dank für eure Gebete und Erkundigungen zu meiner Augen OP! Es ist alles sehr gut gelaufen. Nur das Gehirn muss sich noch an die neue Linse
gewöhnen und bracht dafür noch einige Zeit...
Nach der frohen Kunde vom 24. hier mal was Anderes: Immer wieder haben einige von euch gefragt, ob der Bruch in Puschels Becken von einer
Überbelastung herrühren könnte. Sie hätte vielleicht nicht mit dem Quad fahren oder Reitversuche machen dürfen... Die Antwort ist Ja und Nein.
Denn dazu sollte erläutert werden, dass die Ärzte sehr froh darüber waren und sind, dass Puschel so aktiv wurde. Denn der Gewinn an Kraft und
Regenerierung ist weit grösser als der eventuelle Schaden. Dr. Tunn, der Arzt, der Puschel operiert hat, war nicht wirklich erstaunt oder
enttäuscht, dass der eingesetzte Knochen gebrochen ist. Für ihn kam es nicht wirklich überraschend. Der Knochen hat offensichtlich während der
lange Chemozeit einiges an Substanz verloren und war demzufolge auch brüchig geworden. Er ist nicht an einer “Nahtstelle” gebrochen, sondern
im Knochen selbst. Und das ist nun eher positiv. Denn Gott hat den Knochen die Fähigkeit mitgegeben, einen sogenannten Kallus auszubilden, also
eine Art Wulst, der hinüberwächst zum anderen gebrochenen Ende. Dadurch wird der Knochen sogar in einem größeren Bereich sogar stärker als
vorher. Und das sogar unter normalen Bewegungen. Da die nun natürlich nicht zu heftig sein dürfen, hat Puschel zwei Probleme damit: die
vermehrten Schmerzen und die verordnete Bettruhe für mindestens 6-8 Wochen. Allerdings darf sie “normale Verrichtungen” selbst machen.
Es ist aber auch so schön, dass viele von euch signalisiert haben, dass sie für Karin beten. Bei aller Freude wollen wir weiter für sie beten! Ihr geht
es nicht gut, sie braucht unsere Fürbitte ganz besonders. Es ist super schön, zu wissen, dass sie in Jesus geborgen ist und, was auch geschieht,
weiss, dass sie in seinen Händen gut aufgehoben ist. Gott kann Wunder tun, das wissen wir. Und dafür dürfen und sollen wir voller Glauben und
Vertrauen beten. Aber es ist ebenso wichtig, dass unser Herr sie in seinem Frieden ruhen lässt, wie immer er sie führt. Und dass er ihrer Familie
ebenso seinen Frieden und seine große Liebe sichtbar und erlebbar macht. Betet einfach auch für alle, die direkt mit ihr zu tun haben.
30. Juni 2008
Gestern hatten wir ein kleines Gemeindefest, und ihr könnt an dem Foto sehen, dass Puschel, zumindest im Liegen, mit daran teilnehmen konnte
Und natürlich war sie auch, zumindest in der zweiten Hälfte, beim Fussball dabei... Es geht Puschel nach wie vor gut. Und so hoffen wir, dass sie
auch bald wieder etwas mobiler sein kann. Natürlich hat sie weiterhin mit starken Schmerzen zu kämpfen. Aber das hat sich alles ziemlich gut
eingespielt. Wir sind dankbar, dass sie ihren Port noch hat und noch diese oder jene Spülung oder Medikament darüber bekommen kann. Die
Blutwerte sind mittlerweile, wenn auch auf keinem sehr hohen Niveau, recht stabil.
So sind wir wirklich jeden Tag neu dankbar für alles, was Gott uns schenkt. Es ist schon etwas Besonderes, wenn man auf die Weise lernt, jeden Tag
einfach aus Seiner Hand zu nehmen. Wir haben nichts von allem verdient, sondern leben aus Seiner Hand! Und darum gebührt IHM die Ehre und aller
Dank. Lasst uns unseren HErrn immer von Neuem loben! Und danke an euch weiterhin für alle Fürbitte, die wir ja gegenseitig immer nötig haben.
.So möchten wir euch die Erinnerung an Karin, die mittlerweile nur durch Geräte am Leben erhalten wird, wachhalten. Betet bitte mit uns weiter für
sie und ihre Schwestern und Familie. Aber auch für die Freunde und Geschwister, die unmittelbar mit ihr zu tun haben. Der HErr wird ihnen Weisheit
und Kraft geben für jeden Tag. Aber sie brauchen unser Gebet! Danke! macht. Betet einfach auch für alle, die direkt mit ihr zu tun haben.
8. Juli 2008
Nun ist Puschel Einzelkind in Bülow... Ihr jüngster Bruder Silas geht in einem Monat zum Zivildienst/FSJ nach Äthiopien.
Dadurch wird es ein wenig ruhiger für sie, allerdings erst nach dem Sommer. Denn solange gibt es hier viel Besuch und einige
Jugendfreizeiten.
Inzwischen bekommt Puschel hier und da Besuch oder Mails von Menschen, die ein ähnliches Schicksal haben wie sie. So gibt sie
immer wieder ihre Erfahrungen der letzten Monate weiter. Wir wissen nicht, warum Gott den einen noch mehr Zeit gibt und die
anderen in die Ewigkeit ruft. Was wir aber wissen, ist, dass er mit allem und allen ein Ziel hat. Und so kann sie, obwohl sie ja
längst nicht als geheilt gelten kann, in der Zeit, die Gott ihr jetzt schenkt, Seine Liebe und Güte bezeugen.
Dabei geht es ihr im Moment eher durchwachsen, weil sie immer wieder mit der Übelkeit zu tun hat. Die Balance von Schmerzen
und Schmerzmitteln und der Übelkeit verändert sich laufend. Ihre Blutwerte aber sind derzeit halbwegs zufriedenstellend.
11. Juli 2008
Im Moment ist es ein bißchen wie im letzten Jahr: Puschel ist fest im Bett, weil sie zum einen noch warten muss, bis der
Knochen im Becken wieder fester ist. Und weil sie zum anderen richtig zu kämpfen hat mit der Übelkeit, die jetzt grad ihr
ständiger Begleiter ist. Da gibt es nur mal kleine Pausen, in denen dann ein Trip mit dem großen Rollstuhl auf der Strasse
zwischen den Dörfern möglich ist. Leider hat sie im Moment weder genug Kraft noch viel Lust, eMails zu schreiben oder zu
malen. Das macht ihr ein wenig Kummer. Sie ist jetzt viel müde und schafft also auch nicht viel. So ist grad der Kampf durch
jeden einzelnen Tag angesagt. Und wir müssen jetzt herausfinden, woran das liegt. Ob es Nachwirkung der Chemo ist oder
andere Ursachen hat. Natürlich wird die Kraft auch nicht gerade mehr, wenn sie durch die Übelkeit kaum etwas essen kann...
Euch danken wir immer wieder für eure Treue im Gebet und dass ihr immer (noch) wieder hier reinschaut. Gott segne und
beschenke euch auf Seine Weise!
13. Juli 2008
Wenn es bis morgen nicht wirklich besser wird, werden wir die Ärzte konsultieren müssen. Puschel wird nach wie vor so von
Übelkeit geplagt, dass sie schon wieder deutlich schwächer wird. Sie hat keinen Appetit und kann so natürlich nicht kräftiger
werden. So hoffen wir, dass es doch recht schnell besser wird. Klar, dass sie so auch keine Kraft hat, eMails zu schreiben, zu
malen oder sonst aktiv zu sein! Aber wie ihr Puschel kennt, kann sie zwar schwach sein, aber sie verliert ihre Freude und ihren
Frieden nicht. Und das gehört für uns zu den Wundern und den unabweisbaren Geschenken Gottes, die auch ein Ergebnis eurer
Gebete und eures Mit-Tragens sind. Dafür immer wieder so so vielen Dank! Gott segne euch allen diese neue Woche. ER ist da,
auch wenn wir es manchmal nicht so stark fühlen...!
16. Juli 2008
„Du wirst fröhlich sein über den Herrn und wirst dich rühmen des Heiligen Israels” Jesaja 41,16
Wir sind sehr dankbar: Puschel ging es in den letzten zwei Tagen deutlich besser als davor! Heute konnte sie sogar (noch
vorwiegend im Liegen) mit in die Stadt fahren! Es ist noch nicht ganz stabil, aber sehr viel besser. Und das gibt ihr nun auch
wieder neue Kraft. Kann sie doch auch wieder vorsichtig etwas essen. Vielen Dank für euer Gebet. Es ist etwas Schönes, zu
erleben, wie wir als Gemeinde Jesu uns gegenseitig stärken können durch solchen
Beistand. Und das Beste ist, dass wir erleben können, dass und wie Gott zu uns steht.
Eine Sache, die wir immer als Geschenk sehen, ist, dass Puschel nie richtig verzagt oder
depressiv war. Als sie vor drei Tagen den Eintrag hier las, meinte sie: Wenn man das liest,
dann kann man ja richtig traurig werden... Nun hoffen wir aber doch, dass sie bald
wieder etwas mobiler werden kann. Und wenn dann der Knochen durch den Bruch
letztlich wirklich stabiler wird, dann sind wir natürlich besonders froh. Euch allen
besonders herzliche Grüße von Puschel!!!!
19. Juli 2008
Gerade ist uns einmal drastisch deutlich geworden, dass Puschel nun schon weit über ein
Jahr fast nur im Bett liegen kann. Und sie ist immer noch fröhlich und unverzagt. Wie vielen werden nach einer so
langen Zeit depressiv oder resignieren! Es ist uns wirklich ein Geschenk unseres Herrn, dass sie immer noch ein
Strahlen in den Augen hat. Und das ist auch ein Ergebnis eurer vielen Gebete und eures Mittragens. Vielen vielen
Dank dafür!!
Es geht ihr in den letzten Tagen durchweg besser. Sie braucht immer mal wieder Medizin gegen die Übelkeit. Das
liegt zum großen Teil auch an den hohen Dosen Schmerzmitteln, die noch immer nötig sind. Allerdings konnte
Puschel diese nach und nach reduzieren und versucht, es weiter zu tun. So hoffen wir, dass sie nun auch wieder
stetig ein wenig kräftiger und dann auch mobiler wird. Es ist schön, dass sie nun auch ein wenig von den Jugend-
Freizeiten auf unserem Gelände mitbekommen
23. Juli 2008
Heute waren wir in der Klinik um eine kleine Zwischenbilanz für Puschels gebrochenen Knochen zu ziehen. Die von
den Ärzten festgelegte Ruhezeit ist inzwischen vorüber. Puschel soll schon immer mal versuchen, ein wenig mobil
und aktiv zu werden. Allerdings ist sie natürlich nun noch etwas vorsichtiger als vor 8 Wochen... Sie möchte nicht
unbedingt erneut einen Bruch riskieren. Es ist mit diesem heutigen Röntgenbild klar, dass der Knochen dabei ist zusammen
zu wachsen. Wie fest er jetzt ist, kann man natürlich noch nicht wirklich abschätzen. Aber ein bißchen mehr Sicherheit
sollte das Bild schon geben. Und das tut es!!! Darüber sind wir sehr froh.
Ansonsten seht ihr, dass es ihr recht gut geht. Es gibt immer wieder kleine “Übelkeits-Episoden”, oft am Abend des Tages.
Aber damit wird sie wohl noch eine Weile leben müssen... So sind wir weiterhin sehr dankbar für jeden Tag. Sie versucht
jetzt, täglich so früh “auf Deck” zu sein, dass sie an den Bibelarbeiten der Musik-Freizeit teilnehmen kann. Es ist schön,
wenn sie alles, was um sie herum geschieht, auch mehr oder weniger aktiv wahrnehmen kann. Zur Zeit ist hier wieder
unser Jugend-Musik-Camp.
26. Juli 2008
Es war Puschel ein großes Anliegen, einmal bei der Enkelkinderfreizeit (es gibt über weit 45 Enkel) zu sein, die ihr Opa
und Oma in jedem Jahr durchführen. In diesem Jahr war sie nicht hier in Bülow, weil parallel hier eine Musikfreizeit ist. So konnten
wir für zwei Stunden in Serrahn sein. Für die kleineren Cousins und Cousinen ist es schön und für manche sicher für ihr ganzes
Leben wichtig, ihre Cousine Puschel wieder zu sehen und ihre Freude im Vertrauen auf Jesus zu erleben.
Es geht Puschel in diesen Tagen sehr gut. Sie kann viel nebenbei schaffen und an der frischen Luft sein. Schön, dass wir euch davon
jetzt alle paar Tage mehr zeigen können. Wir sind Gott so dankbar für jeden neuen Tag. So nebenbei wird Tag für Tag das ganze
Leben immer ein Stück “normaler”. Vielen Dank euch immer wieder, dass ihr so treu “dran” bleibt - am Schauen und Beten. Gott
segne euch!
1. August 2008
Es ist uns immer wieder mal ein besonderes Anliegen, euch allen zu sagen, wie sehr wir es schätzen und euch von Herzen
danken, dass ihr so treu hier hereinschaut und für Puschel betet. Das ist gar keine Selbstverständlichkeit, sondern ein riesiges
Geschenk Gottes für uns. Puschel hat jetzt immer wieder gute Möglichkeiten, jungen Menschen von dem zu berichten, was
Jesus in ihrem Leben getan hat. Und das tut sie mit großer Freude. Hier in Bülow finden jetzt ständig Freizeiten statt. Und
Puschel wird immer wieder gefragt, ob sie nicht aus ihrem Leben erzählen mag. Da ist es schön, zu sehen, wie die jungen
Menschen dem ganz intensiv folgen.
Puschel ist in den letzten Tagen sehr aktiv gewesen. Sie hat für eine Jugendwoche ihrer Freunde in Gärtringen eine
Bühnenkulisse gemalt. Und es ist schön, zu erleben, wie gut ihr selbst das tut. Es hat ihr viel Freude gemacht,
auch, wenn es manchmal ein wenig über die Kräfte ging. So ist sie mit vielen Aktivitäten mehr und mehr wieder
aktiv. Langsam geht auch das Fahren mit dem Quad wieder, sodass sie ihre Umgebung wieder besser erleben kann.
Allerdings ist sie doch etwas vorsichtiger als vor dem Bruch im Becken...
Die Blutwerte sind wieder etwas besser geworden, sie sind jetzt in fast allen Einzelwerten im Normbereich, wenn
auch überall am unteren Ende. Einzig die Leukos können sich nicht entscheiden, über die 3 zu gehen, obwohl sie
doch eigentlich über 4 sein sollten. Doch das liegt ganz offenbar daran, dass ihr ein so großer Teil des Knochens im
Becken fehlt. Denn dort werde die Leukos in erheblichem Maße neu gebildet. So heißt es hier, Geduld zu üben. Und
das ist ja nichts Neues...
07. August 2008
Es war ein großer Wunsch von Puschel, sobald wie möglich mal wieder nach Schweden zu kommen, wo sie 18
Monate lang gearbeitet hat. Hier hat man wie an soooo vielen Orten, sehr intensiv für Puschel gebetet und tut es
weiter. Wie sehr sie zur “Holsby-Familie” gehört, konnten wir in diesen drei kurzen Tagen sehen. Ihr könnt euch
durch die Bilder unten ein klein wenig ein eigenes Bild davon machen. Es war ein großer Wunsch,und nun ist es ein
großes Geschenk unseres himmlischen Vaters, dass das möglich wurde. Die Fähre war mit 1 Std. Verstätung
losgefahren und hatte am Ende etwa 5 Std. Verspätung, weil ein richtig guter Sturm über die Ostsee ging. Aber wir
sind gut und fröhlich hinüber gekommen. Das Schlafen unter dem Tisch gehörte natürlich auch für Puschel dazu...
Hier ist es unglaublich, zu sehen, wie sehr man Puschel im Herzen hat. Für uns einmal mehr ein Beweis dafür, dass
man die Familie Gottes nicht erst erfinden muss. Es gibt sie!!
Euch vielen Dank für all euer Gebet, das ihr weiterhin den Weg von Puschel begleiten lasst. Zum Teilhaben an
Puschels Freude - heute hier einmal ein paar mehr Fotos!
10. August 2008
Wir sind gut und fröhlich wieder von Schweden zurück gekommen! Puschel hat die Strapazen der Reise recht gut
überstanden, es ist alles heil geblieben (im Becken...!). Jetzt hat sie wieder ein wenig mehr Ruhe. Allerdings hält
es sie meist nicht lange im Bett. Wenn irgend möglich, versucht sie, irgendetwas zu tun, was sie weiterbringt oder
sie ihre Umgebung erleben lässt. Das Gute ist, dass dadurch ihr Gesamtzustand nur besser werden kann!
Ein paar Fotos möchten wir euch unten noch einmal von Schweden zeigen. Dann könnt ihr einfach ein wenig mit
empfinden und genießen, was es Puschel bedeutet, dass sie nach knapp drei Jahren wieder einmal dort sein konnte.
Ellis, eine Mitarbeiterin von damals, mit der Puschel eng zusammengelebt und -gearbeitet hat, war ebenso gerade
dort wie einige andere “von damals”. So gab es einen gemeinsamen Worship-Abend im Haus der Gründer der
Fackelträger-Bibelschule in Holsby, Wally & Donna Schoon. Einen Tag später dann ein sog. “Pott-Luck”, ein
Mitarbeiterabend, zu dem jeder, der wollte, einen anderen “Pott” mit Essen mitbrachte. So war das Essen im einen
Pott für manche “luck” (glücklich) für die anderen vielleicht nicht so, je nach Geschmack... Un
d immer konnten wir die Freude und den Dank an Gott erleben, den die “Holsby-Familie” darüber zum Ausdruck
brachte, dass Puschel in so guter Verfassung dabei sein konnte. So könnt ihr hier ein wenig an dieser Freude
teilhaben und Gott mit uns danken, dass ER bis hierher geholfen hat in den letzten 18 Monaten. Puschel hat sich
gefreut, dass sie mit einigen der Familien und Freunden sich unterhalten konnte und hofft, dass sie bald wieder
kommen kann (um den Hochseil-Klettergarten auszuprobieren ... :-)
13. August 2008
Sollen wir euch mal wieder mit Puschels Blutwerten oder dergleichen traktieren? Nein, das nicht, aber wir wollen
euch gern sagen, dass die heutigen wöchentlichen
Werte sehr zufriedenstellend sind. Allerdings ist nicht ganz klar, ob bei den Leukos (3,5) nicht doch eine kleine
Infektion (Schnupfen, Ohrenschmerzen) eine gewisse Rolle spielt. Ansonsten aber geht es ihr nach wie vor gut. Sie
hat jetzt alle Ruhe und Zeit, die sie braucht, um nach und nach wieder mehr “auf die Beine” zu kommen. So
langsam können wir sogar schon mal einen Blick voraus werfen und überlegen, was für sie in der Zukunft eventuell
möglich werden könnte. Soweit ist es zwar noch nicht, aber doch schon eine Überlegung wert. Denn wenn Gott sie
bis hierher hindurch getragen hat, dann hat ER möglicherweise auch noch mehr mit ihr vor. Das Schöne ist, dass
Puschel von ihrem Schöpfer die Fähigkeit mitbekommen hat, die Dinge auf sich zu kommen lassen zu können und
dann alle Möglichkeiten (und Unmöglichkeiten) aus seiner Hand zu nehmen. Und dabei ist sie nie griesgrämig,
sondern lebt immer in der Freude am HErrn. Besser geht´s nicht, oder? Das aber hat sie nicht aus sich selbst,
sondern wirklich nur von IHM. Und dazu helfen ihr auch alle eure Ermutigungen und Gebete. Dafür immer wieder
euch allen einen herzlichen Dank!!
28. August 2008
Immer wieder darf Puschel nun Kindern und Jugendlichen, die hier auf unserem Gelände zu Camping-Freizeiten
kommen, ihren Weg mit Gott erläutern und sagen, was ER ihr Gutes getan hat (Psalm 103). Sie erzählt dann von
ihrer Zeit in Schweden und El Salvador und natürlich aber die letzten Monaten in Krankenhäusern und den
verschiedenen Ausnahmesituationen. Es ist schön, zu sehen, wie Kinder und Jugendliche ihr das Vertrauen, das sie
zu Jesus hat und immer hatte, abnehmen. Betet bitte einfach mit dafür, dass ER Segen daraus werden lässt.
So langsam aber müssen wir uns wieder auf die nächste Zeit in Berlin vorbereiten. Wir brauchen euch allen nicht zu
sagen, wie dankbar und froh wir wären, wenn die Untersuchungen nach nun einem halben Jahr nach der letzten
Chemo ohne Befund wären.
Vielen Dank für all eure Treue und euer Gebet für Puschel. Gern würden wir euch, auch immer mal wieder Einzelne
nennen, für die wir selbst beten, und die wir gern auch diesem oder jenem von euch aufs Herz legen würden. Es ist
so gut, zu erleben, wie Gottes Kinder füreinander einstehen und so der Welt ein Zeugnis von der Realität der
Familie Gottes geben können.
Familie Dehn in Lobetal, bei der ich immer während der Krankenhausaufenthalte von Puschel wohnen kann, hat uns
mit Petra und ihrer Familie in Verbindung gebracht. Wir konnten sie bei der Taufe der jüngsten Tochter von Dehns
treffen. Petra ist Mutter von 4 Kindern deren zweite Tochter am Samstag heiratet und der Jüngste 17 Jahre ist.
Sie hat seit 6 Jahren einen Kopftumor, der zum 4. Mal operiert wurde und der unüblicherweise Metastasen in der
Wirbelsäle gestreut hat, deren Schmerzen z. Zt. nur mit starken Schmerzmitteln zu ertragen sind. Bitte betet,
dass Sie und Ihr Mann Henry Kraft und Weisheit geschenkt bekommen wie sie als nächste Schritte tun können und
dass sie getrost in unserem Vater im Himmel bleiben können !
3. September
Vielen Dank, dass ihr hier immernoch und immer wieder hereinschaut!! Gott segne euch und das Zeugnis eurer Liebe. Es ist für uns
immer wieder unglaublich gut, zu sehen, wie sehr daran die Familie Gottes sichtbar wird - auch zum Zeugnis für Menschen, die dies
nicht kennen. Danke für alle Gebete und auch für alle Nachfragen und Rückmeldungen!
Es geht Puschel nach wie vor sehr gut! Das Becken stabilisiert sich offenbar Stück für Stück. Puschel kann sich immer etwas mehr
zutrauen. Natürlich ist sie nach dem Bruch vorsichtiger. Aber wie ihr an den Fotos sehr, ist sie nun schon zum ersten Mal wieder auf
einem Pferd gewesen. Das ist für sie ein richtiger Meilenstein nach dem Bruch des Knochens im Becken. Sie bekommt nahezu jeden
Tag eine Physiotherapie-Anwendung und ist dabei, sich nach Möglichkeiten für eine Reha-Kur umzuschauen.
Und nun Puschels “Spezialfrage” am heutigen Tag - für alle, die irgendwo etwas näher zu uns wohnen...: Wer möchte eine unserer 4
kleinen Katzen haben??
16. September 2008
Die neueste Meldung von Heute: Die Untersuchungen haben keinen (!) positiven Befund ergeben! Also, in dem Fall ist “kein positiver
Befund” ja positiv...:-)) Also, hier ist negativ mal gut... Also: Es wurden keine Krebszellen entdeckt auf den MRT- und CT- und
Röntgenbildern! Dafür sind wir natürlich von Herzen dankbar!. Und es ist schön, wenn ihr einfach mit uns Gott dankt! Wir haben auch
in der Klinik viel Freundlichkeit erlebt. Wir werden jetzt noch einige Tage, auch in Süddeutschland unterwegs sein. Ihr bekommt
zwischendurch wieder eine Meldung. Vielen Dank für eure Treue in der Fürbitte.
16. September 2008
Die neueste Meldung von Heute: Die Untersuchungen haben keinen (!) positiven Befund ergeben! Also, in dem Fall ist “kein positiver
Befund” ja positiv...:-)) Also, hier ist negativ mal gut... Also: Es wurden keine Krebszellen entdeckt auf den MRT- und CT- und
Röntgenbildern! Dafür sind wir natürlich von Herzen dankbar!. Und es ist schön, wenn ihr einfach mit uns Gott dankt! Wir haben auch
in der Klinik viel Freundlichkeit erlebt. Wir werden jetzt noch einige Tage, auch in Süddeutschland unterwegs sein. Ihr bekommt
zwischendurch wieder eine Meldung. Vielen Dank für eure Treue in der Fürbitte.
19. September 2008
Natürlich wollen wir euch gern teilhaben lassen an den Aktivitäten, die Für Puschel inzwischen möglich geworden sind. Wir hatten ja
geschrieben, dass Puschel zu der Hochzeit einer Freundin im Süden Deutschlands fahren wollte. Das wurde dadurch, dass es in der
Klinik in Berlin schneller ging, als erwartet, sogar schon vorfristig möglich. Wir werden euch hier in den nächsten Tagen immer mal
ein paar Fotos präsentieren, die deutlich machen können, wie aktiv sie bereits sein kann. Allerdings sind mehrmals am Tag Pausen
nötig, und die Schmerzmittel müssen stets parat stehen.
Doch mit all den Hilfsmitteln kann sie schon sehr am normalen Leben teilhaben. Ihr könnt es an den Fotos oben sehen. Und das ist ein
riesiges Geschenk für uns alle. Immer wieder trifft Puschel Menschen, die die ganze Zeit über für sie gebetet haben und sich nun
freuen, sie wiederzusehen. Vielen Dank allen, die Puschel signalisieren, dass sie weiter für sie beten! Es ist sehr schön und
ermutigend, zu wissen, dass dies nicht zu Ende ist, wo es ihr wieder besser geht. Danke für jedes Gebet! Danke für eure Treue. Gott
segne euch alle. Wir halten euch auf dem Laufenden
22. September 2008
Puschel ist auf der Hochzeit ihrer Freundin...! Ein wenig wollen wir euch auch daran teilhaben lassen. Gleichzeitig wollen wir
Puschels Opa grüßen, der im Moment mit seiner Frau in Kirgisien ist, um dort bei der Ausbildung von Predigern und Pastoren zu
helfen. Vielleicht könnt ihr dies selbst dort im Osten einmal lesen - wir beten für euch und euren Dienst...!! Wir sind noch immer
sehr dankbar für die so positiven Ergebnisse aus den Untersuchungen der letzten Woche! Wir können Gott nicht genug danken, dass
ER uns so Gutes tut. Ihr habt es erlebt und mit uns gebetet und auch gebangt, als es Puschel wirklich schlecht ging. Nun dürft ihr
gern auch mit uns danken. Natürlich gibt es immer noch Grund, vorsichtig zu sein! Puschel will und sollte keinen erneuten Bruch der
“Fibula im Becken” riskieren. Außerdem benötigt sie nach wie vor starke Schmerzmedikamente. Und nur der Herr weiß, ob der Krebs
wirklich besiegt ist. Doch im Moment geht es ihr so gut, dass sie sich an der “Urlaubstour im Süden” wirklich freuen und sie genießen
kann. Darum zeigen wir euch gern auch in den nächsten Tagen neue Bilder.
30. September 2008
Wir sind gut wieder zu Hause gelandet. Morgen werde wir euch ein paar Fotos zeigen, die schon wieder hier zu Hause gemacht
worden sind. Hier nur noch einige aus der vergangenen Woche, die für Puschel ein echtes Highlight waren. Sie konnte viele Freunde
treffen, hat viele Orte wiedergesehen, an denen sie vor ihrer Zeit in Schweden und El Salvador gewesen ist. Außerdem waren wir in
Gunzenhausen in einer Reha-Einrichtung, um sie einmal anzuschauen. Diese Frage der Reha wird in der nächsten Zeit obenauf liegen.
Der Arzt, der Puschel vor gut einem Jahr operiert hat, hat ihr heute “grünes Licht” für eine nur an der Schmerzgrenze orientierte
Belastbarkeit ihres rechten Beines gegeben. Das bedeutet, die Knochen sind jetzt so gut zusammen und stabil, dass sie so stark
auftreten darf, wie sie es schmerzmäßig verkraftet. Das ist wieder ein “Meilenstein der jüngeren Geschichte”. Und wir danken Gott
sehr dafür und bitten ihn um das richtige Maß dafür.
Silas- mein Bruder hat heute Geburtstag. Weil wir Schwierigkeiten haben mit ihm in Verbindung zu kommen, möchte ich ihn hiermit
grüßen und Gottes reichen Segen wünschen. Für die, die es nicht wissen, Silas ist für das nächste Jahr in Äthiopien für das nächst
Jahr. Sollte irgend jemand ihm gerne Grüße schicken (Ich weiß, dass es ihn freuen würde und es eine Ermutigung sein würde.) seine
Adresse istsilas@holmer.deund sollte jemand gerne Bilder sehen seht auf seine Homepagewww.silas.holmer.info. Ihr dürft ihn auch
gerne im Gebet, mit eMails oder finanziell unterstützen. Vielen Dank euch.
3. Oktober 2008
Mit den Fotos oben dürft ihr wieder mal an einem kleinen Meilenstein für Puschel teilhaben. Natürlich muss sie die nötige Vorsicht
walten lassen. Aber seit ein paar Tagen hat sie, wie schon erwähnt, “grünes Licht” bekommen, um ihr rechtes Bein so zu belasten,
wie es die Schmerzen zulassen. Natürlich ist Puschel dankbar für diese “Genehmigung”. Denn sie gibt mehr Sicherheit bei allen
Aktivitäten. Wir wissen, dass die Stabilität im Becken nie ganz zurück kommen kann. Aber vielleicht wird sie irgendwann einmal ohne
Krücken laufen können... So wollen wir nicht aufhören, Gott zu danken für alles, was ER uns Gutes getan hat. ER hat uns auch die
ganze Zeit über so viel Gutes getan dadurch, dass ER euch alle an unsere Seite gestellt hat!! Und dafür dürfen wir IHM jeden Tag von
Herzen danken. So manchen von euch hat Puschel erst durch diese Homepage und die Gebete und Verbundenheit im Glauben
kennengelernt. Ist das nicht das Wunder Seiner Familie? Vielen Dank euch für alle Zeichen dieser Verbundenheit! Gott segne euch
reichlich!
6. Oktober 2008
Mit den Fotos oben dürft ihr wieder mal an einem kleinen Meilenstein für Puschel teilhaben. Natürlich muss sie die nötige Vorsicht
walten lassen. Aber seit ein paar Tagen hat sie, wie schon erwähnt, “grünes Licht” bekommen, um ihr rechtes Bein so zu belasten, wie
es die Schmerzen zulassen. Natürlich ist Puschel dankbar für diese “Genehmigung”. Denn sie gibt mehr Sicherheit bei allen
Aktivitäten. Wir wissen, dass die Stabilität im Becken nie ganz zurück kommen kann. Aber vielleicht wird sie irgendwann einmal ohne
Krücken laufen können...
Sie kann jetzt recht viel unternehmen und so immer stabilier werden. Freilich muss sie immer wieder Liegepausen einlegen und
Schmerzmittel nehmen. Aber nur durch Aktivitäten werden die Muskeln aufgebaut
So wollen wir nicht aufhören, Gott zu danken für alles, was ER uns Gutes getan hat. ER hat uns auch die ganze Zeit über so viel Gutes
getan dadurch, dass ER euch alle an unsere Seite gestellt hat!! Und dafür dürfen wir IHM jeden Tag von Herzen danken. So manchen
von euch hat Puschel erst durch diese Homepage und die Gebete und Verbundenheit im Glauben kennengelernt. Ist das nicht das
Wunder Seiner Familie? Vielen Dank euch für alle Zeichen dieser Verbundenheit! Gott segne euch reichlich!
11. Oktober 2008
Im Moment gibt es nicht viel Neues, aber das ist angesichts der letzten guten Berichte ja auch eine positive Nachricht, oder? Puschel
kann nach und nach ein wenig mehr auf die Beine kommen, obgleich ihr sie hier vor allem auf dem Rücken ihres Lieblingspferdes
“Saba” sehen könnt. In der nächsten Woche geht es um so “banale” Dinge wie z.B. die Frage, von wem sie künftig ein wenig Geld für
ihren Lebensunterhalt bekommt...
Danke für eure Treue, mit der ihr hier immer wieder reinschaut. Wir wünschen euch allen einen guten Sonntag, an dem unser Vater
im Himmel reden kann und wir ihn hören... Und einen guten gesegneten Wochenbeginn!
15. Oktober 2008
Heute kommt ganz und gar Puschel selbst zu Wort!!
Es hat sich bei mir in den letzten Monaten viel bewegt. Gott hat viel bewegt.
Viele von euch haben lange für mich gebetet. Und nun dürft ihr sehen, was Gott daraus macht.
Es ist nun schon eine längere Zeit her, als wir euch über meinen Bruch im Becken berichtet haben. Jemand sagte damals: „Weshalb
muss sie, die schon ein ganzes Jahr lang im Bett gefesselt war, nun schon wieder liegen?“ Im ersten Moment war es wirklich nervig,
aber nicht auf lange Sicht. Ich wusste zu dem Zeitpunkt noch nicht, wofür das gut sein könnte, aber ich wusste, dass Gott seine
Gründe hat. Heute kann ich euch einen Grund nennen. Die Knochen in meinem Becken sind nun kräftiger, als zuvor. Der Bruch hat den
eingesetzten Knochen im Becken zum Wachstum angeregt. Und dadurch habe ich eine bessere Stabilität, was auf längere Sicht
natürlich wichtig und wertvoll ist.
Ich lebe in dem Wissen, dass es Gott gibt, dass ER alles in seinen Händen hält. Und dieser Gott möchte mit uns unseren Tag erleben.
Unser Leben ändert sich, wenn wir jede Minute in dem Wissen leben, dass da Gott ist, der uns geschaffen hat und zwar zu seinem
Ebenbild, also als Gegenüber.
Natürlich ist klar, dass es den Widersacher/Feind Gottes gibt – und der zerstört, was er kann: unser Leben, unseren Frieden, diese
Welt. Doch gerade deshalb ist es umso wichtiger, eng an IHM/Jesus zu bleiben! Was habe ich schon zu verlieren, wenn ich mich für
Jesus entscheide?!
Was würdet ihr dafür geben, eure Zeit teilen zu dürfen, um mit der liebevollsten, klügsten und heiligsten Person? Was sagt ihr dazu,
dass diese Person schon längst auf euch wartet. Wir haben die Chance und nutzen sie meist nur sonntags und manchmal, wenn wir in
Not sind.
Ich habe mir in letzter Zeit Gedanken gemacht, weshalb wir so oft für die unwichtigen Dinge in unserem Leben mehr Zeit
verbrauchen, als für die wichtigen. Und was sind die Wichtigen?
Ich bin mal wieder zu dem Entschluss gekommen, dass das wichtigste die Beziehung zu Gott- unserem Schöpfer ist. Ich habe meinen
Platz im Himmel, weil ich sein Kind bin. Aber genieße ich die Zeit mit Ihm hier auf der Erde mit all den Versprechen und Geschenken,
die Er uns zusagt? Ebenso wichtig ist es, die Beziehungen zu den Menschen zu sehen und zu pflegen, die Gott uns anvertraut. Die sind
wichtiger als alles Materielle in unserer Welt und unserem Leben! Wie wenig wichtig sind materielle Dinge für einen Menschen, der
vor den Toren der Ewigkeit steht!
Eins ist mir noch aufgefallen. Wir leben meistens nicht im Heute. Aus verschiedenen Gründen leben wir entweder im Gestern oder
Morgen. Aber Fakt ist, dass wir heute leben! Die einzige Problematik, wo wir Zukunftsdenken brauchen, ist die Frage, ob Jesus uns an
der „Himmelspforte“ erkennen würde?
Könnt ihr euch noch an Saba das Pony erinnern? Es hat unseren Nachbarn gehört. Sie ziehen nun wegen Studium usw. weiter weg. Ich
werde sie hier sehr vermissen!!! So war nun aber die Frage was sie mit Saba machen? Sie geben Saba in meine Hände! Krass oder? Ich
hätte mir nie träumen lassen, dass ich je Pferdebesitzer werde! Einfach so! Nun traue ich Gott zu, mir auch bei den Folgekosten zu
helfen. Saba wird mir in großem Maße helfen, meine Muskeln auch im rechten Bein wieder ein Stück weit herzustellen. Sie wurde in
den letzten Jahren für Reit-Therapie benutzt und ist somit sehr feinfühlig. Und keine Angst- ich halte mich mit Trab und Galopp
zurück
Schon immer habe ich gerne Fotografiert. Vor einiger Zeit konnte ich mir eine gute Kamera kaufen, mit der ich es liebe, der
Schöpfung Gottes im Detail auf der Spur zu sein.
Vor etwa zwei Wochen durfte ich anfangen, mit einer Krücke zu laufen. Ich sag euch- es ist genial zu laufen und zur gleichen Zeit
etwas zu transportieren und nicht immer Hilfe nötig zu haben.
Wie Hiob komme ich mir vor. Hiob (ein Mann aus dem Alten Testament) hat viel in seinem Leben verloren und es später in noch
größeren Segen wiederbekommen. Ich darf erleben, wie ich immer mehr Energie und Muskeln zurückbekomme. Klar habe ich immer
noch Schmerzen die auch gerne nachts kommen. Die Übelkeit ist stets eine Begleiterscheinung und selbstständig bin ich noch längst
nicht. Aber ich habe Leben aufs Neue wieder bekommen. Ich werde mich bemühen jeden Tag in der Gegenwart Jesu zu leben um ein
Leben voller Abenteuer zu genießen, inbegriffen all die Freunde, die mir „über den Weg laufen“.
Schon seit einigen Wochen ist Silas in Äthiopien/Afrika. Ehrlich gesagt vermisse ich ihn ja schon sehr… Naja ich bin froh, dass er im
letzten Jahr noch hier war. Er war hier ein großer Segen mit einem dienenden Herzen…nun für Menschen in Äthiopien. Ich möchte
euch einfach noch mal auf seine Homepage hinweisen. Wenn ihr euch mal Zeit nehmen könnt, ihm eine kleine Ermutigungs-eMail zu
schreiben, dann würde er sich freuen und ich mit ihm. Und wenn´s nur ein kurzer Gruß ist… auch finanziell war es für uns ein Wagnis,
ihn gehen zu lassen. Solltet ihr da Möglichkeiten haben. ist es für uns alle und die ihn tragende Missionsgesellschaft, „Hilfe für
Brüder“, eine echte Unterstützung. Das Wichtigste ist aber, dass er im Gebet begleitet wird.
Vielen Dank für all eure Unterstützung und Gebete für uns. Wenn wir euch nicht hätten… Haben wir aber! Danke! Liebe Grüße und
Gottes Segen an Euch!
20.Oktober 2008
Zur Zeit hat Puschel ein paar Probleme mit einer Erkältung, die sich bei ihr nach wie vor wesentlich stärker auswirkt als bei uns
normalerweise. Im Großen und Ganzen aber geht es ihr dennoch gut. Sie ist nach wie vor (jetzt wegen der Erkältung mit etwas
größeren Ruhepausen) in der Lage, mit dem Quad zu fahren und z.B. auf ”Fotopirsch” zu gehen, z.Zt. sogar mit ihren Freundinnen aus
Süddeutschland Eva und Judith, die ihr zusätzlich zur Hand gehen können, wenn es um ihren “Freund Saba” oder die Esel geht.
Gleichzeitig geht es jetzt bei ihr konkret darum, dass Puschel eine Stelle findet, die ihr eine Rente, Sozialhilfe o.a. gewährt, was für
sie und ihre zukünftigen Möglichkeiten natürlich deutlich beeinflussen wird. Wenn ihr dafür betet, dass sich hier positive
Möglichkeiten ergeben, wäre das sehr hilfreich. Wir können Gott zutrauen, das ER für Puschel einen Platz hat, an dem sie in der
Zukunft seinen Namen groß machen kann und soll. Einmal mehr danken wir euch für alle Unterstützung im Gebet. Gott segne euch
alle.
29.Oktober 2008
Es ist schön, euch von Zeit zu Zeit teilhaben zu lassen an Puschels Ergehen. Natürlich werden jetzt, da nicht viel Aufregendes
geschieht, die Abstände größer. Wir können uns aber immer wieder neu daran erinnern, wie es vor einem Jahr noch war. Da war noch
nicht dran zu denken, dass Puschel jetzt mit ihren Freunden in Berlin sein und einen Stadtbummel würde unternehmen können. Und
so ist fast jeder neue Tag für uns doch wieder ziemlich aufregend. Und Puschel ist der Meinung, sie sollte (wenn sie könnte und so
veranlagt wäre...) mal ein ganzes Buch über die Dankbarkeit schreiben...Ziemlich klar ist jetzt für sie, dass sie, zumindest zunächst,
über das Arbeitsamt ihren nötigsten Unterhalt bekommen kann. Aber Genaueres wissen wir hier noch nicht. Wenn ihr dafür betet,
dass sich hier positive Möglichkeiten ergeben, wäre das schön. Wir können Gott zutrauen, das ER für Puschel einen Platz hat
(kurzfristig auch für eine Reha und die richtige Einrichtung), an dem sie in der Zukunft seinen Namen groß machen kann und soll.
Einmal mehr danken wir euch für alle Unterstützung im Gebet. Gott segne euch alle.
06.November 2008
„Vergiss nicht, zu danken dem ewigen Herrn, er hat dir viel Gutes getan!” nach Psalm 103,2
Immer wieder hat Puschel jetzt, in dieser düsteren Jahreszeit (ob es Zusammenhänge gibt?) Probleme mit Schwächephasen und Müdigkeit. Aber
da ist nun halt auch wirklich Geduld gefragt. Das bedeutet aber immer wieder auch, dass sie diese oder jene eMail, die sie sich eigentlich für die
Beantwortung vorgenommen hat, zurückstellen muss. Es ist dennoch schön, wenn ihr ihr weiter Zeichen eurer Verbundenheit über eMail oder
das Gästebuch sendet. Vielen Dank dafür immer wieder!
Natürlich geht die Zahl der Besucher jetzt nach der Sommerzeit sehr zurück. Aber so hat sie auch mehr Ruhe für die Erholung. Und dabei ist sie
weiterhin am Ausloten, welche Wege Gott ihr ebnet und welche Türen ER öffnet für die nächste Zeit (Reha und berufliche Fernperspektiven.)
Danke, dass ihr auch weiter für sie betet. Gott segne euch alle auch in euren “normalen” Aufgaben.
11.November 2008
Wegen des Drucks und der Schmerzen in ihrem Becken ist Puschel, wie ihr oben sehen könnt, noch nicht oft in der Lage, beim Essen zu sitzen.
Darum liegt sie oft auf ihrem größeren Rollstuhl am Tisch in der Küche. Oben seht ihr sie mit ihren Großeltern aus Dresden. Immer wieder hat
Puschel jetzt, in dieser düsteren Jahreszeit (ob es Zusammenhänge gibt?) Probleme mit Schwächephasen und Müdigkeit. Aber da ist nun halt
auch wirklich Geduld gefragt. Das bedeutet aber immer wieder auch, dass sie diese oder jene eMail, die sie sich eigentlich für die Beantwortung
vorgenommen hat, zurückstellen muss. Es ist dennoch schön, wenn ihr ihr weiter Zeichen eurer Verbundenheit über eMail oder das Gästebuch
sendet. Vielen Dank dafür immer wieder! Natürlich geht die Zahl der Besucher jetzt nach der Sommerzeit sehr zurück. Aber so hat sie auch mehr
Ruhe für die Erholung. Und dabei ist sie weiterhin am Ausloten, welche Wege Gott ihr ebnet und welche Türen ER öffnet für die nächste Zeit
(Reha und berufliche Fernperspektiven.)
21.November 2008
Wir können nicht genug danken und Gott loben, wenn wir sehen dürfen, dass Puschel mehr und mehr in der Lage ist, ihre Dinge selbst zu
erledigen. Natürlich braucht sie noch immer eine Menge Pflege und Fürsorge, aber ihr Zustand bessert sich Stück für Stück. Vielleicht
interessiert es euch, einmal in aller Kürze einen normalen Tag geschildert zu bekommen!? Sie braucht noch immer sehr viel Ruhe. Morgens
bekommt sie früh ihre Medizin und schläft dann bis ca. 9:30/10:00 Uhr. Dann braucht sie natürlich die nötige Tagespflege und Medikamente,
frühstückt ein wenig, denn manche Tabletten kann man schlecht auf nüchternem Magen zu sich nehmen. Doch dann beginnt so der eigentliche
Tag (kurz vor dem Mittag...:-)) Zweimal in der Woche bekommt sie Physiotherapie, was eigentlich besser jeden Tag wäre, aber von dem
Krankenkassen-Budget her nicht öfter möglich ist. Wir hoffen immernoch, dass sie bald in ein “Sonderbudget” hineinrutscht. Wenn es irgendwie
geht, ist Puschel so viel wie möglich aktiv, braucht dafür aber natürlich mehr Schmerzmedikamente. Dabei versucht sie immer, ein gutes
Verhältnis von Beidem hin zu bekommen. Wenn ihr hier immer die “Aktiv-Fotos” seht, dann bedeutet das nicht, dass sie den ganzen Tag
unterwegs sein kann... Sie braucht noch immer viele Ruhephasen. Aber es ist kein Vergleich zu der Zeit während oder gleich nach der Chemo.
Wir sind doch unendlich dankbar für jeden Tag und jeden Fortschritt. Dabei ist sie für viele Freunde und besonders Jugendliche immer ein guter
Gesprächspartner. Und immer ist ihr der Aufblick zu Gott das Wichtigste. Das strahlt sie auch in alle Freundschaften und auch unsere Gemeinde
aus. Danke, dass ihr auch weiter für sie betet., dass Gott sie weiter stabilisiert und vor allem zum Segen für viele werden läßt!
30.November 2008
Es ist schön, dass mehr und mehr Alltag einkehrt. Puschel arbeitet jetzt sogar schon immer mal in der Schule mit, wie ihr auf den Bildern sehen
könnt. Sie hat einer Mitarbeiterin unserer Gemeinde bei einem Schulprojekt geholfen und mit den Kindern einen Zeichen- und Malworkshop
durchgeführt. Sie geht dabei fast immer dicht an ihre Grenzen. Aber genau das ist gut so. Denn auf die Weise kommt sie immer weiter so voran,
sodass sie sich nun schon mal vorab mit einer möglichen beruflichen Reha beschäftigen kann. Im Moment läuft aber erst einmal ein Antrag bei
der Krankenkasse auf eine medizinische Reha. Wir sind jetzt gespannt, ob diese genehmigt und für welche Zeit dies möglich sein wird. Die
medizinische Abteilung bei der Agentur für Arbeit (Arbeitsamt) hat Puschel nun offiziell eine dauerhafte Arbeitsunfähigkeit bescheinigt, sodass
sie auch kein Geld von dort bekommen wird. So bleibt jetzt nur noch der Gang zum Sozialamt, um für Puschel eine "Grundsicherung" zu
beantragen. Es liegt in Gottes Hand, wie sie versorgt wird. Aber wir sind froh, sie hier zu haben. Sie ist immer mehr und immer wieder richtig
gut in die Gemeindearbeit integriert. Und es macht Freude, zu sehen, wie sie an verschiedenen Stellen alles, was Gott ihr gegeben hat,
weitergeben kann, auch ihre Erfahrungen mit ihm in den letzten Monaten.
So sind wir mehr denn je dankbar für jeden neuen Tag. Und wir sind immer neu dankbar für euch alle, die ihr so treu “dran” bleibt!!
10. Dezember 2008
Puschel geht es den Umständen entsprechend gut. Es kommt immer auf die Sicht drauf an. Gestern konnte sie mal
wieder auf ihrem Pony Saba, ausreiten. Während sie unterwegs war hat sie uns angerufen und uns gebeten sie mit
dem Quad abzuholen. Sie sagte, dass sie zu müde geworden ist durch die Medikamente und deshalb sicherer, wenn
jemand kommt. SO ist Eva- Maria losgefahren um sie abzuholen. Dadurch bekam sie auch mal wieder die
Möglichkeit zu reiten. Puschel Hat das Quad gefahren und Eva- Maria bzw. Saba an den Führ strick genommen. Nach
dem Ausflug musste Puschel erst einmal eine heiße Dusche nehmen um ihr Bein wieder warm zu bekommen. Sie
hat immer noch mit Schmerzen zu kämpfen, aber das beeinflusst nicht ihre Lebensfreude. Sie freut sich an ihrem
Leben mit unserem Vater im Himmel und möchte, dass jeder andere es auch möchte und kann. Was ist besser als
ein Leben in seiner Gegenwart?
14. Dezember 2008
Da sind zwei Dinge, von denen wir euch berichten und um Gebetsunterstützung bitten wollen: Wir haben von
unserer Krankenversicherung eine Einwilligung für Puschels Rehabilitation für den Ort Füssen bekommen. Das ist
ein Ort an dem speziell an ihrem Bein gearbeitet werden soll, weil sie dafür spezialisiert sind. Nun haben wir
aber gestern einen Anruf von der Versicherung bekommen, in dem sie uns sagten, dass sie uns die Einwilligung
doch nicht geben, weil die Einrichtung keine Qualifikation für Tumorpatienten hat. Heraus kam aber auch, dass
es viel mehr wegen der Zahlung für die Anfahrt und die generelle Bezahlung nicht abgelehnt werden soll. Die
letzte Info, die wir haben ist, dass sie Anfang der Woche noch mal anrufen, weil sie alles noch einmal überdenken
wollen. Da Puschel im Moment mehr ein orthopädisches als ein onkologisches Problem hat, wäre die nicht
vorhandene Qualifikation für Onkologie egal. Bitte betet für eine gute und für Puschels Genesung und
Mobilisierung hilfreiche Entscheidung.
Da ist noch ein anderes Problem das uns gerade seit gestern unvermittelt beschäftigt. Puschel hat versucht, einen
Gegenstand mit ihrem rechten (kranken) Bein zu verschieben, wobei es “knax” gemacht hat… Danach stellten sich
extreme Schmerzen ein. Nach einem Röntgenbild konnte ein Bruch im Becken komplett ausgeschlossen werden.
Gott sei dank! Wie auch immer, sie muss nun wieder ruhiger treten und darf ihr Bein nicht sehr belasten. Zudem
hat sie vermehrt Schmerzen (vielleicht Sehnen, Muskeln o.a. Am Dienstag haben wir wieder Untersuchungstermin
in Berlin. Wir werden es dann dort noch einmal untersuchen lassen. Das Problem ist wahrscheinlich ein Muskel
was nun wieder neue Schmerzen hervorruft. Wir hoffen auch, dass die Untersuchungen in Berlin termingerecht
vorbereitet sind, damit wir schnell wieder nach Hause können. Doch mehr als das beten wir für gute Ergebnisse
hinsichtlich der Tumorzellen. Das wird wieder eine spannende Reise. Möge unser Vater im Himmel euch die
Adventszeit segnen.
17. Dezember 2008
Gerade sind wir wieder zu Hause angekommen. Und so wollen wir euch auch sofort teilhaben lassen an den
Ergebnissen der Untersuchungen in den letzten zwei Tagen: Es gab das “volle Programm” an Untersuchungen, und
das war ja gut so: Röntgen, CT, MRT, HNO, EKG, Blut.
Und alle Ergebnisse sind, laienhaft ausgedrückt, total positiv!
Das heißt in dem Fall: ohne negativen Befund (Die Fachleute sagen dazu “negativ”, weil eben nichts gefunden
wurde.) Und das heißt, dass Puschel eine Reha “mit Volldampf” angehen kann. Denn dazu kommt, dass wir
gestern den Bescheid von der Krankenkasse bekommen haben, dass die Reha genehmigt ist, wenn wir die
Fahrtkosten zum größten Teil selbst übernehmen. Das werden wir dann natürlich tun. Damit ist fast definitiv klar,
dass die Reha in einer speziell für den “Bewegungsapparat” ausgerichteten Einrichtung stattfinden kann. Damit
steht der Ort zwar fest, aber noch nicht die Zeit. Die wird durch die Krankenkasse geklärt. Zudem bekamen wir
gestern telefonischen Bescheid vom Arbeitsamt, dass Puschel, vorbehaltlich eines Negativbescheids der
Rentenkasse für ein ganzes Jahr Arbeitslosengeld bekommen soll. So könnt ihr euch vorstellen, dass kaum noch
was “zum Meckern” bleibt... Nein, wir sind sehr sehr dankbar. Und wenn ihr mögt, dürft ihr das Danken mit uns
tun. Denn ER hat es getan - über Bitten und Verstehen! Und euch danken wir für alle Gebete und Zeichen eurer
Verbundenheit und Unterstützung.
26. Dezember 2008
Jetzt ist es eine gute Woche her, dass wir euch die gute Meldung geben konnten, dass mit dem onkologischen
Befund alles in Ordnung war. Diese Gewißheit im Hintergrund schafft natürlich einigen Freiraum dafür, dass
Puschel nun noch freier und klarer an manche Überlegungen für die nächste Zeit gehen kann.
Außerdem konnte sie frei und so, wie es die Kraft und die Schmerzen zuließen, an den Vorbereitungen unserer
Gemeinde für die Weihnachtsgottesdienste mitwirken. Am Heiligabend hat die Jugend unserer Gemeinde ein Spiel
vorgetragen, in dem die Weihnachtsgeschichte des Lukas aus der Sicht der Wirtsleute, die ja dort nur am Rande
erwähnt werden gesehen und dargestellt wird. Dies war sehr lebendig, und Puschel war sozusagen der “special
guest” (der besondere Gast). Denn sie ist natürlich die Älteste in der Jugendgruppe. Und sie ist eben mit ihren
Krücken aufgetreten...
Überhaupt hat sie mittlerweile eine gute tragende Rolle in unserer Gemeinde, vor allem als Ansprechpartner für
manche Fragen der jungen Leute. So sind wir neben manchen unerwünschten Belastungen (die ihr ja alle aus der
Vergangenheit von dieser Internet-Seite kennt) sehr froh, sie gerade jetzt hier zu haben. Gott gebraucht sie auf
sehr vielfältige Art und Weise.
Und deshalb sind wir weiter so froh über jedes Gebet, das ihr für sie zum Herrn schickt. ER gibt ihr Kraft und
Weisheit, Frieden und Freude an allem. Und das ist es, was ER durch sie gerade hier tut. So danken wir Gott für
diese Weihnachtszeit, in der ER uns deutlich zeigt, dass ER uns so nahe ist, dass ER in uns leben will und kann.
Gott segne euch alle in dieser Zeit!
Ein Bild von
Puschel - Unsere
Kirche in Bülow
(von 1236) -
Tagebuch 2008